
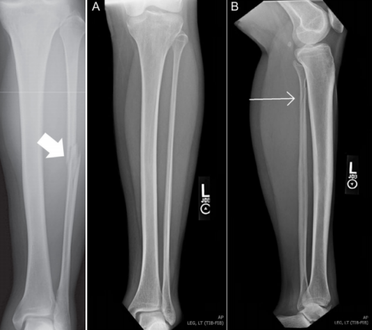
Maisonneuve骨折(MFF)是一种特殊类型的踝关节骨折,约占踝部损伤的1%-11%。指由外旋暴力导致的腓骨近端骨折,常合并多种结构损伤。此型骨折很不稳定,且常合并下胫腓联合分离。该骨折1840年由法国医师Maisonneuve首先报道,故此得名。

Maisonneuve骨折有哪些主要特点?

1. 骨间膜损伤及腓骨近端骨折;
2. 踝关节内侧结构损伤(内踝骨折或三角韧带损伤);
如果踝关节内侧结构损伤是三角韧带断裂,同时下胫腓全部韧带损伤,而从X线片上仅可见到腓骨中上1/3骨折,甚或腓骨颈骨折或上胫腓分离,此时不应忽略踝关节损伤与下胫腓分离存在的重要性,我们在临床中应高度重视此情况的发生。
3. 下胫腓前韧带损伤;
4. 可合并下胫腓后韧带损伤或后踝骨折。
(1、2和3为旋前外旋Ⅲ度,1、2、3和4为旋前外旋Ⅳ度)
首先以腓骨骨折线位置与远端胫腓联合之间的位置关系进行分类。该分系统强调了外踝在踝关节稳定性中的重要性,易于应用,临床应用较广泛,对于手术中远端胫腓联合的修复有指导意义。

44A腓骨骨折线位于下胫腓联合下方,下胫腓关节稳定;
44B腓骨骨折线位于下胫腓联合平面,下胫腓关节稳定;
44C腓骨骨折线位于下胫腓联合上方,下胫腓关节不稳定。
Maisonneuve骨折属44C型骨折

Maisonneuve骨折属旋前外旋型III度以上
Maisonneuve骨折的受伤机制(旋前外旋型骨折)


内侧结构损伤(内踝/三角韧带)→下胫腓前联合损伤→骨间韧带损伤→腓骨高位骨折→下胫腓后联合损伤/踝损伤(有/无)
I度: 首先发生的是三角韧带的断裂或者内踝的撕脱骨折。
Ⅱ度: 距骨外旋力量继续作用于下胫腓关节,下胫腓前韧带和骨间韧带或韧带附着点撕脱骨折。
Ⅲ度: 腓骨骨折发生于胫骨远端关节面以上水平,甚至可以位于腓骨近端即Maisonneuve骨折,骨折线从前上方斜向后下方,即与旋后(内翻)外旋骨折相反。
Ⅳ度: 最后发生下胫腓后韧带断裂,或其胫骨附着点的撕脱骨折(Volkmann骨折块)。

1.初次就诊时的临床漏诊率为 14.28%-44.4%。漏诊的原因主要是关注踝关节疼痛,忽视了小腿近端的疼痛,影像学检查的时候,不会刻意去关注腓骨近端的影像。当踝关节X线片未见腓骨骨折,但显示内侧结构损伤、下胫腓联合分离或合并后踝骨折,应进行腓骨近端的体格检查及影像学检查。
2.对于踝关节损伤的患者应注意对腓骨近端的查体,并行胫腓骨全长X线片。

3.小腿挤压试验和外旋应力试验。

4. CT可以发现较小的下胫腓联合的分离;MRI可以发现三角韧带、骨间膜和下胫腓韧带的损伤情况。


Maisonneuve骨折采用保守治疗是无效的,石膏固定不能保持踝关节的稳定性,建议手术治疗。
(1)对于远端2/3的腓骨骨折会引起腓骨短缩、外旋或外展畸形,对于此类骨折必须首先复位腓骨,恢复长度,纠正旋转。
(2)大部分文献指出对于腓骨近端1/3的骨折可以保守治疗,除非有腓总神经受伤。
内、外踝均能解剖复位并牢固固定者,一般认为无需进行下胫腓联合的固定,但以下几种情况需要固定:
①对于腓骨骨折线在踝关节水平以上4.5cm伴有三角韧带断裂者(内踝骨折),需行下胫腓固定;
②术中在固定内、外踝骨折后,向外牵拉腓骨,若外移3-4mm 者;
③距骨和内踝间隙大于5mm;
④陈旧的下胫腓联合脱位。
关于下胫腓联合固定的问题:
对于采取1枚或2枚螺钉,选取3.5mm或4.5mm螺钉目前仍有争议,
Maisonneuve骨折我们通常选用两枚4.5mm螺钉固定下胫腓联合。

通常选择距离关节面2~4cm范围置入下胫腓螺钉。
距离关节面更远则胫骨腓骨之间距离加大且腓骨位置靠后增加固定难度,固定后腓骨易出现畸形;
在该范围内,固定后的下胫腓关节稳定性接近韧带断裂前的生理水平。
下胫腓螺钉应平行于胫距关节面置入,否则有可能造成腓骨长度的改变;
下胫腓螺钉应从后向前25-30°垂直于下胫腓关节,否则有可能造成腓骨前后移位。

对于下胫腓螺钉应固定3层皮质还是4层皮质仍存在争议;
我们通常采取固定4层皮质,4层皮质稳定性更好,待下胫腓螺钉取出后在负重。虽然固定4层皮质断钉发生的概率较3层皮质更高,但断钉发生后两侧断端容易取出。
下胫腓螺钉并非拉力螺钉而是位置螺钉,如果过度加压将导致踝穴变窄,导致踝关节背伸受限;因此按前述位置和方向钻孔后,应用丝攻将腓骨、胫骨均攻丝;无拉力拧入4.5mm 螺钉。
Tornetta 认为背屈位固定与在跖屈位固定没有显著性差异。我们推荐在背伸位固定下胫腓。
下胫腓螺钉取出时机争议比较大,我们通常于固定8-12周后拆除下胫腓螺钉。
(1)对于内踝骨折而三角韧带完整的只需复位固定内踝骨折即可。
(2)三角韧带是否需要修复?
俞光荣提出三角韧带修复的手术指征为:
①踝穴位X线片示内侧间隙较对侧≥5mm,距骨向外侧脱位或半脱位
②踝关节骨折复位后外翻应力试验发现踝关节内侧不稳定
③关节复位后固定后,踝关节内侧间隙仍增宽1mm以上者,可能为断裂的三角韧带或其他组织嵌入。
三角韧带的修复以及何种方式修补都存在争议,早期文献指出,外踝的完整修复足以稳定踝关节,三角韧带可以不用修复。
但近来文献指出,三角韧带的修复是必要的,有助于恢复内侧稳定性,达到早期功能锻炼的目的。
综上,Maisonneuve骨折是容易漏诊的一种踝关节骨折,在查看患者时要特别注意小腿近端的疼痛及压痛,X片检查时尽量拍摄胫腓骨全长片。
Maisonneuve骨折不稳定需要手术治疗,对于腓骨近端骨折、下胫腓联合、内踝或三角韧带、后踝(有或无)的处理,术者应根据患者的要求及疾病自身特点及个人的临床经验进行综合考虑。
排版:海藻
插图/题图:作者提供
参考文献:
1.Zhao Bin,Li Nan,Cao Hong-Bin et al. Rare pattern of Maisonneuve fracture: A case report.[J] .World J Clin Cases, 2022, 10: 4684-4690. doi: 10.12998/wjcc.v10.i14.4684.
2.尹博,周君琳,刘洋,等. 一种特殊类型的Maisonneuve损伤的诊断和治疗. 中华创伤骨科杂志,2021,23(02):162-166.
3.李亚星 任毅 唐霞 陈宇 吴仕舟 邓伟 朱赟 黄富国 张晖(2019).特殊命名的踝关节骨折及其诊疗要点中华骨科杂志,2019,39(21): 1344-1356.
4.何锦泉,马信龙,辛景义,等. Maisonneuve骨折的临床特点及疗效分析[J]. 中华骨科杂志,2019,39(21):1293-1300.
5.Bartoníček, Jan; Rammelt, Stefan; Kašper, Štěpán; Malík, Jozef; Tuček, Michal (2018). Pathoanatomy of Maisonneuve fracture based on radiologic and CT examination. Archives of Orthopaedic and Trauma Surgery, (), –. doi:10.1007/s00402-018-3099-2
6.Richmond, Ryan R; Henebry, Andrew D (2018). A Maisonneuve Fracture in an Active Duty Sailor: A Case Report. Military Medicine, (), –. doi:10.1093/milmed/usx080
7.骨折治疗的AO原则第三版
8.实用骨科学
9.Bissuel, Timothée; Gaillard, Florent; Dagneaux, Louis; Canovas, François (2017). Maisonneuve Equivalent Injury With Proximal Tibiofibular Joint Dislocation: Case Report and Literature Review. The Journal of Foot and Ankle Surgery, 56(2), 404–407. doi:10.1053/j.jfas.2016.10.003
10.Ebraheim, Nabil A.; Weston, John T.; Ludwig, Todd; Moral, Muhammad Z.; Carroll, Trevor; Liu, Jiayong (2014). The association between medial malleolar fracture geometry, injury mechanism, and syndesmotic disruption. Foot and Ankle Surgery, 20(4), 276–280. doi:10.1016/j.fas.2014.08.002
11.牛浩,宋连新,武富明,等. Maisonneuve骨折18例临床分析[J]. 中国综合临床,2013,29(4):416-418.
12.俞光荣,赵有光,夏江,等.踝关节骨折合并三角韧带完全断裂的手术治疗[J].中华创伤骨科杂志.2013,(3).188-192.
13.Sjoerd A. Stufkens; Michel P.J. van den Bekerom; Job N. Doornberg; C. Niek van Dijk; Peter Kloen (2011).Evidence-Based Treatment of Maisonneuve Fractures. , 50(1), 62–67. doi:10.1053/j.jfas.2010.08.017 .
14.Ichiro Yoshimura; Masatoshi Naito; Kazuki Kanazawa; Akinori Takeyama; Takahiro Ida (2008).Arthroscopic findings in Maisonneuve fractures. , 13(1), 3–6. doi:10.1007/s00776-007-1192-4
15.解放军总医院创伤骨科手术学
16.骨折的分类与功能评定.
17.James A Sproule; Mohamed Khalid; Michael O’Sullivan; John P McCabe (2004). Outcome after surgery for Maisonneuve fracture of the fibula. , 35(8), 791–798. doi:10.1016/s0020-1383(03)00155-4
18.G C Babis,P J Papagelopoulos, J Tsarouchas, A B Zoubos, D S Korres, P Nikiforidis(2000).Operative treatment for Maisonneuve fracture of the proximal fibula.Orthopedics.2000Jul;23(7):687-90.doi:10.3928/0147-7447-20000701-15
19.K D Merrill (1993).The Maisonneuve fracture of the fibula.Clin Orthop Relat Res. 1993 Feb;(287):218-23.
20.Adelgunde V.C.M. Zeegers; Christian van der Werken (1989).Rupture of the deltoid ligament in ankle fractures: Should it be repaired?. , 20(1), 39–41. doi:10.1016/0020-1383(89)90043-0
21.Terrence R Lock; John J Schaffer; Arthur Manoli II (1987). Maisonneuve fracture: Case report of a missed diagnosis. , 16(7), 805–807. doi:10.1016/s0196-0644(87)80580-2
22.A M Pankovich(1976).Maisonneuve fracture of the fibula.J Bone Joint Surg Am. 1976 Apr;58(3):337-42.
23.Fisher, A., Bond, A., Philpott, M. D. G., Jayatilaka, M. L. T., Lambert, L.-A., Fisher, L., … Mason, L. (2021). The anatomy of the anterior inferior tibiofibular ligament and its relationship with the Wagstaffe fracture. Foot and Ankle Surgery, 27(3), 291–295. doi:10.1016/j.fas.2021.01.00




发表评论: