
1986年,MASQUELET 发现了一种修复骨缺损的方法,即 Masquelet 技术,又称诱导膜技术,是目前解决大段骨缺损的有效的手段之一。它的手术操作包含 2 个阶段:
第一阶段,彻底清创后以聚甲基丙烯酸甲酯骨水泥充填骨缺损,并在骨缺损处给予良好的软组织覆盖;
第二阶段,于第一阶段术后 6-8 周,在骨缺损处骨水泥周围生成完整诱导膜后,将聚甲基丙烯酸甲酯骨水泥取出,保证诱导膜完整,在完整的诱导膜形成的管腔内填入自体松质骨,并对骨缺损部位选择有效固定。
如果没有诱导膜,长度大于 4-6 cm的骨缺损处植入自体骨移植物后会发生骨吸收,且纤维组织会长入骨缺损之间影响骨折愈合。
自体松质骨含骨诱导和成骨成份较多,常用于 5 cm 以下骨缺损的治疗;若缺损大于 5 cm,即使植骨区血供丰富、软组织覆盖好,也易发生移植骨吸收而致成骨不全。
目前常用方法:
(1)异体大段骨移植不足:愈合时间长、易再骨折、排异反应等可能。
(2)带血管蒂的骨移植不足:对术者显微操作要求高,同时存在受区应力性骨折和供区疼痛等并发症;而局部血管蒂转移技术受血管蒂长度的限制。
(3)Ilizarov 技术是目前治疗大段骨缺损的金标准不足:但其仍存在病程长、外架固定不便于康复及护理、针道感染、不愈合率高、再生骨易骨折、对接点骨不连接等。
针对胫骨骨髓炎大段骨缺损,我们采用 Masquelet 技术结合游离自体腓骨治疗,作为一种方法,具体如下:
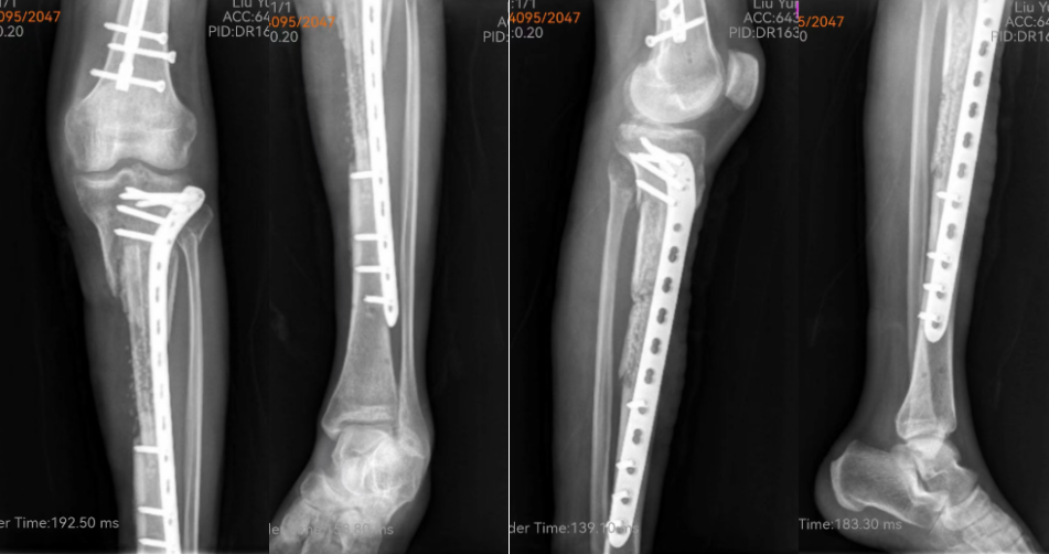
病例资料:患者男性,52岁,车祸致左股骨骨折、腰1椎骨折、左胫腓骨骨折,当地医院手术治疗,后出现感染,既往有慢性肾衰竭病史,持续血透治疗。6个月后我院就诊,给予反复清创、皮瓣转移、植皮、骨水泥珠链植入。以下为8周后无明显感征像的自体腓骨植入+人工骨植入+钢板内固定手术。








采用Masquelet技术结合游离自体腓骨治疗骨髓炎具有以下优点:
(1)生物学上:大段骨缺损,需要大量植骨,采用自体健侧游离腓骨植骨,不仅可以减少植骨量,而且诱导成骨,促进断端及缺损区成骨;
(2)力学上:游离腓骨植骨有髓内固定的作用,联合接骨板固定,稳定性更好,是内外结合的体现。早期的稳定有利于患者早期的功能锻炼,减少并发症的发生,能够帮助患者早期恢复日常生活。
(1)目前我科病例较少,该例患者还在随访中,需要更多的病例进一步探讨该治疗方法的优劣势。
(2)患者既往有血透病史,身体状况差,骨折愈合状况本身就欠佳,需要长时间的恢复过程,或者不愈合再次手术干预。
排版:海藻
插图:作者提供
题图: 站酷海洛
参考文献:
[1]纪振钢,周大鹏,韩天宇,等.Masquelet技术治疗下肢长骨骨缺损的肢体功能障碍分析[J].实用骨科杂志,2020,26(07):600-604.
[2]Masquelet AC, Fitoussi F, Begue T, Muller GP. Reconstruction des os longs par membrane induite et autogreffe spongieuse [Reconstruction of the long bones by the induced membrane and spongy autograft]. Ann Chir Plast Esthet. 2000 Jun;45(3):346-53.
[3]王钊,闫石.应用Masquelet技术治疗大段骨缺损减少自体骨用量的可能性[J].中国组织工程研究,2020,24(24):3862-3869.
[4]倪曲波,杨旭,李景峰,等.Masquelet技术结合游离自体腓骨治疗胫骨骨缺损[J].武汉大学学报(医学版),2020,41(04):629-632.




发表评论: