


说起腰背痛,小到在校学生,大到七八十的老年人,都有过腰背痛的经历。跟主任出门诊,我们会发现,同样是因为腰背部疼痛症状就诊的患者,有的需要拍个 X 光片,有的却需要做核磁,那么这是为什么呢?
首先,引起腰背痛的病因有很多,疾病的严重程度也不一样。比如腰肌纤维织炎(也就是常说的腰肌劳损)、腰椎间盘突出症、腰椎肿瘤、腰椎骨折、骨质疏松症等,这些疾病都可以导致患者腰背部疼痛。所以,主任在问诊、查体后,会根据自己的经验和病人的阳性体征,对病人的疾病做个初步判断,根据不同的病因,选择不一样的检查手段。

我们管 X 线检查叫 X 光片、照相或拍片。在 X 光片里,我们能看到脊柱有没有骨折,有没有骨质破坏,有没有脊柱侧弯、有没有骨质增生等。一些有经验的大夫,可以通过椎间隙高度的丢失判断椎间盘的退变程度。
但是对于大部分软组织病变如椎间盘、椎管内神经、有没有占位性病变等却无能为力。如果患者有压缩骨折,X 光片也无法判断是新鲜骨折还是陈旧骨折,这样也就无法定制下一步诊疗计划。

所以,X 光片的优点是廉价、检查快捷,缺点是对人体有辐射,组织显像有限,只能看骨头,不能看软组织。
一般来说,X 光片在脊柱外科里,属于一种基础检查或筛查,对绝大多数腰背痛的病人都适用。
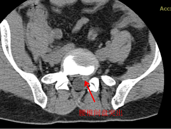
CT 中文名称叫做电子计算机断层扫描,顾名思义就是将需要检查的人体部位,通过电脑切成若干小层,然后把每层的图像显示出来,所以 CT 相对于 X 光片的优点就是细节显示更清楚,一些 X 光片看不出来或看不清的隐匿性骨折,通过 CT 层扫后,就能发现细小的骨折,这样就很大程度上避免了漏诊或误诊。

CT 也可以显示出椎间盘有无突出,椎体内有无骨质破坏、椎管狭窄程度等。所以,如果怀疑一个病人是腰椎间盘突出症,而患者又不愿意做核磁,那就应该首选腰椎 CT。
CT 的优点是可以显示出 X 线检查难以发现的隐匿性骨折,对软组织的显影优于 X 光。缺点是价格稍贵,辐射量更大。
随着科技进步及医学的发展,核磁已经是脊柱外科不可或缺的检查手段。对脊柱、韧带、椎间盘、椎管内神经及椎旁组织显影都优于 CT,通过腰椎核磁我们可以直观地看到椎间盘突出的程度、神经受压的程度,以及压缩骨折的新鲜程度。

这对于脊柱疾病的治疗有着很重要的指导作用。优点是对脊柱及周围组织显影更清楚,无辐射。其缺点是价格昂贵,检查时间长,有幽闭恐惧症的患者难以接受。
核磁相对于 CT 和 X 线检查显像更清晰,内容更全面,那么所有腰背部疼痛的患者来就诊后都应该做核磁吗?答案当然是否定的。X 光、CT 和核磁这三种检查侧重点不同,在对疾病的诊治过程中都有着不可替代的作用。

核磁虽然显像更全面,但都是层扫,直观整体的信息欠缺,X 光片虽然内容少,但可以显示出脊柱整体的影像。几种检查互相补充,可以让疾病诊断更加明确。
前面提到的腰椎压缩骨折,X 光片可以看出楔形变,但无法判断新鲜骨折还是陈旧骨折,进一步完善腰椎 MRI 才能明确诊断,做出下一步治疗计划。
作者:刘立林
排版:景胜杰
图源:站酷海洛、作者提供
投稿:jingshengjie@dxy.cn

- 上一篇:惠东双月湾
- 下一篇:多线程的TCP服务器




发表评论: