当前位置:首页
> .html
导读:不说废话,直接上图 !!!患者:女,28 岁。左肩部疼痛伴活动受限 3 天。1 年前摔伤致左锁骨中段骨折,行切开复位钢板内固定。1 个月前 X 线片提示骨折断端已愈合。给予内固定取...

不说废话,直接上图 !!!

患者:女,28 岁。左肩部疼痛伴活动受限 3 天。
1 年前摔伤致左锁骨中段骨折,行切开复位钢板内固定。1 个月前 X 线片提示骨折断端已愈合。

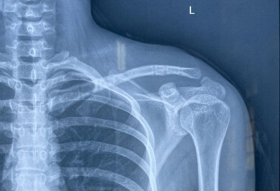
给予内固定取出术,术后复查 X 线:

患者 3 天前无明显诱因出现左肩部疼痛伴活动受限。
查体:左锁骨中段压痛、叩击痛阳性,局部可见畸形。遂以「左锁骨骨折术后再发骨折」收治入院。拟行手术治疗。
手术经过
术中可见锁骨骨皮质连续性中段,清理断端死骨以及硬化骨后,切取自体髂骨进行植骨,再次用钢板固定。
手术经过:滑动看 !!!
术后复查锁骨对位对线良好。

讨论
本病例内固定取出术前 X 线片未发现明显的骨折线,但内固定物取出后因缺乏钢板的支撑,在无明显受伤机制的情况下发生再骨折,这可能说明骨折并未完全愈合。
经验教训
在缺乏 CT 进一步诊断的前提下, 仅凭借 X 线片报告的骨折愈合诊断结果并不能完全排除骨折未愈合!!
关于骨不连
临床一般采用美国食品和药品监督管理局制定的骨不连标准,即骨折术后 9 个月骨折端仍未愈合并且已连续 3 个月没有任何愈合迹象则可诊断为骨不连。
骨不连依据术前 X 线片的特点分为肥大型、营养不良型、萎缩型,但对于术后 X 线片结果回报骨折已愈合,无明显诱因出现再骨折是否可以定义为隐匿性骨不连?

从左往右依次为:肥大型、营养不良型、萎缩型骨不连,图源:《骨折治疗的 AO 原则》
作者:叶浩波;排版:景胜杰
投稿:jingshengjie@dxy.cn
- 上一篇:惠东双月湾
- 下一篇:多线程的TCP服务器








发表评论: