空无以求全
宁静以致远
当前位置:首页 > .html

髌骨骨折的治疗方案与并发症防治方法

作者:大熊空间发布时间:2022-06-30 20:00分类: 浏览:335评论:0


导读:髌骨骨折只占全身骨折的 1%,治疗方式的选择和并发症的防治尤其要注意,急诊来了髌骨骨折患者,你怎么处理?解剖髌骨是人体最大的籽骨,位于膝关节伸膝装置内。解剖特点包括近端宽大的基底和...



髌骨骨折只占全身骨折的 1%,治疗方式的选择和并发症的防治尤其要注意,急诊来了髌骨骨折患者,你怎么处理?



解剖




髌骨是人体最大的籽骨,位于膝关节伸膝装置内。解剖特点包括近端宽大的基底和关节外的远侧尖端,前面位于关节外,后面为关节面。

图源:站酷海洛

股直肌和股中间肌止于髌骨基底部,股内侧肌和股外侧肌止于髌骨的两侧。髌腱起于髌骨尖端,止于胫骨结节。




髌骨骨折的诊断




髌骨骨折约占所有骨折的 1%,主要由直接暴力造成,如跌倒时跪地或膝关节屈曲时受到打击。典型的体征包括关节肿胀、压痛、伸膝功能部分或完全丧失。

髌骨骨折正侧位  图源:作者提供

除以主诉和典型体征外,膝关节 X 线片也是必不可少的一项辅助检查,以膝关节正侧位 X 线片最常见,如果怀疑纵向骨折,膝关节屈曲 45° 时髌骨 30° 切位片可以辅助诊断。

图源:站酷海洛

对于骨折不愈合、畸形愈合所致的关节面不平整以及髌股关节对应关系不良可采用 CT 检查。MRI 有助于诊断软骨缺损和损伤。




髌骨骨折的 AO/OTA 分类




34-A 型(关节外骨折,伸膝装置断裂)

图源:作者提供

34-B 型(部分关节内骨折,伸膝装置完整,如纵行骨折)

纵形骨折  图源:作者提供

34-C 型(完全关节内骨折)

横行骨折  图源:作者提供




髌骨骨折的治疗方案




34-A 型(关节外骨折)

▼▼▼
髌骨下极骨折袢钢板结合克氏针、张力带固定  图源:作者提供

拉力螺钉加张力带钢丝固定或经胫骨结节绕髌环扎;经骨缝合撕裂的肌腱加髌骨和胫骨结节间钢丝环绕以加固缝合;袢钢板固定。

图源:作者提供


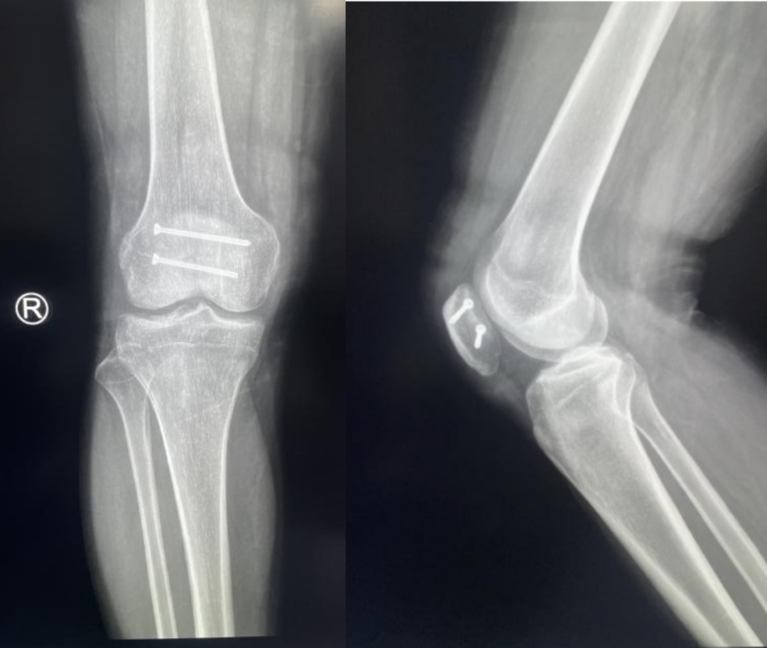
34-B 型(部分关节内骨折)

无移位采用非手术治疗;移位并且单纯骨折采用横向拉力螺钉固定,骨质疏松患者需加环扎固定;对于多骨折块(星状)则采用髌骨环扎加张力带进行固定。

图源:作者提供


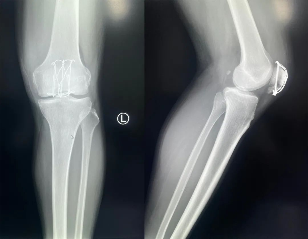
34-C 型(关节内骨折)

▼▼▼
完全关节内骨折克氏针加张力带固定  图源:作者提供

克氏针加张力带钢丝;有第三个骨折块则采用拉力螺钉或克氏针加张力带钢丝固定;对于 4 个或 4 个以上的骨折块采用克氏针加螺钉加张力带钢丝进行固定;对于严重粉碎和软骨面广泛破坏的髌骨骨折,髌骨部分或完全切除也是一种可行的办法。

图源:作者提供

图源:作者提供




术后的隐患和并发症




1. 伤口愈合问题

术中切开显露髌骨时,最理想的的分离层面为皮下筋膜和伸膝装置之间,如若在皮肤和皮下筋膜之间进行分离,可能会造成伤口边缘坏死。

图源:站酷海洛

不恰当地使用拉钩也会引起这种问题。

2. 深部感染

对于开放性髌骨骨折应及时给予清创处理,对于闭合性髌骨术后感染患者应及时进行清创灌洗直至伤口愈合。如有深部感染则推荐长期使用抗生素。

3. 可降解的生物植入物所致滑膜炎

透明降解物会产生轻重不等的无菌性滑膜炎,这很难和感染相区分。需行关节镜检查来确定。

图源:站酷海洛

4. 髌骨骨折内固定物的固定与取出

在进行克氏针固定髌骨时,克氏针的末端应剪短,否则有穿破皮肤以及术后活动时疼痛的风险。

髌骨骨折术后内植物至少在损伤后 9 ~ 12 个月才能取出。高密度的骨皮质需要这么长时间才能愈合,从而能在无保护情况下承受高张力。

5. 髌骨低位

必须防止这一并发症的发生,因为会导致膝关节屈曲严重受限。用环扎钢丝来保护髌腱时,有可能因为错误估计髌腱长度而造成髌骨低位。髌骨的正常位置可以参照健侧膝关节的 X 线片。

6. 活动受限

屈曲受限的患者需要进行强化理疗。如果在数月内运动的范围没有增加,下一步可行关节镜下松解,去除髌上囊的挛缩瘢痕。如果髌骨已切除,则可能出现肌腱断裂的晚期并发症。

7. 创伤后关节炎

图源:站酷海洛

髌骨软骨面的严重损伤、关节面不平整的继发性损伤以及髌股关节受力的改变,都将导致创伤性关节炎的发生。如果髌骨韧带附着位置太靠前方,会使髌骨下极位置靠后,也将导致创伤性关节炎。在前一种情况下,可以行关节镜下清理;后一种情况下需改变韧带附着点位置。




后记






髌骨术后应及时有效地进行膝关节活动锻炼,一般在术后 3 月时膝关节可屈曲 120° 以上,若术后 3 月时膝关节弯曲角度仍然小于 90°,建议进行辅助康复训练,必要时以手术松解。


作者:叶浩波
排版:景胜杰
投稿:jingshengjie@dxy.cn

发表评论: