-
这个案例,教会了我在异物取出术中如何避免严重并发症的发生
作为一名消化科医生,夜班总是会遇到吃下各种各样东西的人前来取异物,比如鱼刺、硬币、纽扣、别针、小刀、筷子、打火机、电池等,种类各异。 记得一次普通的夜班,急诊入院一个老年女性,以...
发布时间:2022-02-18分类: 浏览:299评论:0
-
前庭神经元炎之鉴别诊断
发布时间:2022-02-18分类: 浏览:311评论:0
-
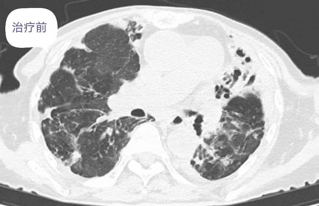
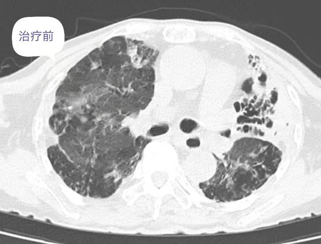
非结核分枝杆菌肺病的综合分析报告
发布时间:2022-02-18分类: 浏览:325评论:0
-
经典案例,盘点心内科的常见不合理用药!
发布时间:2022-02-18分类: 浏览:325评论:0
-
急性心梗的10个常见的疼痛部位及图解!
发布时间:2022-02-18分类: 浏览:332评论:0
-
进行性系统性硬化症(PSS)
进行性系统性硬化症(PSS)又称系统性硬化,是一种以皮肤纤维化为主,并累及血管和内脏器官的自身免疫性疾病。病变呈局限性良性皮损,称为硬皮病;有广泛的皮损,并累及内脏器官,称为弥漫性...
发布时间:2022-02-18分类: 浏览:343评论:0
-
2:1房室阻滞合并完全性右束支阻滞心电图解析
2:1房室阻滞是一种特殊类型的二度房室传导阻滞,指P波每隔一次被阻滞而不能下传。由于文氏型阻滞和莫氏型阻滞均可引起2:1房室阻滞,且PR间期固定,有时不易区别2:1房室阻滞是属于二...
发布时间:2022-02-18分类: 浏览:333评论:0
-
面对疫灾,辗转两院为重症新型冠状病毒肺炎患儿实施全身麻醉
为了日益严重的疫情,我院外科楼纷纷关停接诊发热患者,麻醉科12名医生和1名麻醉护士除了日常值班外全部24小时候命。 我院产科、儿科患者在县卫健局协调下全部转至县妇幼保健院。科室安...
发布时间:2022-02-18分类: 浏览:346评论:0
-
怀念李文亮医生
奇迹终究没有发生,被称为疫情“吹哨人”的李文亮医生,因为感染了新型冠状病毒肺炎,于2020-02-07凌晨2时58分,永远地离开了我们,他的离去,扯痛了多少人的心。
发布时间:2022-02-18分类: 浏览:322评论:0
-
他从幕后走向幕前,只为万千患者!
骆斌,男,44岁,副主任医师,中**员,我院CT&MRI中心主任,在此次抗击新冠肺炎传播行动中功不可没,值得赞赏。
发布时间:2022-02-18分类: 浏览:306评论:0





