空无以求全
宁静以致远
当前位置:首页 > .html

骨科精读 | 150种骨关节影像诊断

作者:智医健康发布时间:2022-03-23 10:27分类: 浏览:422评论:0


导读:【普通放射图片】: 【影像表现】:X线平片(A、B)示骨小梁减少、变细,骨密度减低,骨皮质变薄。 【影像诊断】:骨质疏松。 【普通放射图片】: 【影像表现】:X线侧位片示股骨...
【普通放射图片】:
图片
【影像表现】:X线平片(A、B)示骨小梁减少、变细,骨密度减低,骨皮质变薄。
【影像诊断】:骨质疏松。
【普通放射图片】:
图片
【影像表现】:X线侧位片示股骨远端一带蒂背关节生长的骨性突起(↑),其骨皮质、髓腔分别与股骨相应部分相连,顶端软骨帽钙化。
【影像诊断】:股骨远端单发性骨软骨瘤(带蒂型)。
【CT图片】:
图片
【影像表现】:CT扫描软组织窗(A、B)及骨窗(C、D)示右侧股骨头股骨颈骨质破坏,周围形成软组织肿块,增强扫描轻度强化(A,↑)。
【影像诊断】:右侧股骨头股骨颈转移瘤。
【MRI图片】:
图片
【影像表现】:MRI平扫T1WI(A)、T2WI(B)示 腰1椎体呈楔形改变(↑),胸12~腰1椎间盘后突。
【影像诊断】:椎体压缩性骨折。
【普通放射图片】:
图片
【影像表现】:X线正、侧位片(A、B)示右胫骨下端分叶状骨质破坏,周围骨质硬化(↑)。
【影像诊断】:右胫骨下端慢性骨脓肿。
【普通放射图片】:
图片
【影像表现】:X线正、侧位(A、B)示肱骨髁上骨质断裂,远侧断段向背侧移位(↑)。
【影像诊断】:肱骨髁上骨折。
【CT图片】:
图片
【影像表现】:CT扫描(A)右肺上野外带可见一不规则高密度影(↑),边界较清,局部放大像(B)见肿块起源自肋骨内缘,呈疣状突入胸腔。
【影像诊断】:右侧胸壁骨软骨瘤。
【CT图片】:
图片
【影像表现】:骨囊肿X线正位片
(A)示肱骨近侧干骺端轻度膨胀性多房囊状骨破坏区,骨皮质破坏、变薄、膨胀,合并病理性骨折(↑);软骨母细胞瘤X线正位片
(B)示肱骨近侧骨骺及干骺端分叶状骨破坏区,边界清楚伴骨质硬化,内可见少量斑点状钙化影;动脉瘤样骨囊肿X线正位片
(C)示股骨干骺端明显膨胀性骨质破坏区,内可见骨性间隔,周围可见骨壳形成。
【影像诊断】:骨巨细胞瘤的鉴别诊断。
【MRI图片】:
图片
【影像表现】:左侧髂骨信号异常。T2WI(B)显示左侧髂骨骨质破坏,可见混杂信号软组织肿块影;T1WI(A)肿块为不均匀低信号区;增强扫描(C、D)肿块呈明显不均匀强化,内可见放射状条索样无强化区。
【影像诊断】:左侧髂骨骨肉瘤。
【CT图片】:
图片
【影像表现】:CT平扫示第2、12胸椎(A、B),第1骶椎(C)及髂骨骨质疏松,多发不规则溶骨性骨质破坏、边缘不清楚、无骨质硬化。
【影像诊断】:脊柱多发性骨髓瘤。
【MRI图片】:
图片
【影像表现】:MRI平扫右股骨上段可见一类圆形占位性病灶(↑),边界清楚,T1WI(A)呈等低信号,T2WI(B)呈高信号,增强扫描(C)分隔呈轻度不均匀强化。
【影像诊断】:右股骨上段粗隆间骨囊肿。
【CT图片】:
图片
【影像表现】:膝关节X线平片(A~C)及CT冠状面(D)、横断面(E)显示关节面硬化,骨赘形成,关节内有游离体(C,↑),关节面下可见骨内假囊肿(D,↑)。
【影像诊断】:膝关节退行性变。
【CT图片】:
图片
【影像表现】:CT扫描左肩胛骨可见大片溶骨性骨破坏区(*),骨皮质中断,骨缺损区填充软组织肿块,横断面(A、B),MPR(C、D),VR(E、F)示肿块与邻近组织分界欠清。
【影像诊断】:左肩胛骨嗜酸性肉芽肿。
【CT图片】:
图片
【影像表现】:X线平片(A)股骨远端囊性膨胀性破坏,骨破坏区直达关节面,骨性包壳基本完整,破坏区与正常骨交界清楚、不锐利、无硬化;CT平扫(B)除见上述征象外,还可见肿瘤内密度不均(*),有多个低密度的坏死区,骨外无软组织肿块影。
【影像诊断】:股骨骨巨细胞瘤。
【普通放射图片】:
图片
【影像表现】:X线肩关节正位(A)显示内收型肱骨外科颈骨折;CT VR重建(B)示肱骨外科颈骨折。
【影像诊断】:肱骨外科颈骨折。
【普通放射图片】:
图片
【影像表现】:X线腕关节正位(A)及侧位(B)示桡骨远端骨折,远折端向背侧移位。
【影像诊断】:Colles骨折X线腕关节正位。
【普通放射图片】:
图片
【影像表现】:X线踝关节正位(A)及侧位(B)示骨骺及干骺端部分骨质分离(A,↑)。
【影像诊断】:内踝骨骺损伤。
【MRI图片】:
图片
【影像表现】:右侧桡骨远端占位。T2WI脂肪抑制像(B)呈高信号,内见斑片状低信号区;T1WI(A)为等信号,内散在低信号区;增强扫描呈轻度不均匀强化。
【影像诊断】:右侧桡骨远端软骨瘤。
【CT图片】:
图片
【影像表现】:CT定位像(A)示右股骨髁间圆形骨破坏(↑),CT横断平扫骨窗(B)呈密度减低区,边缘清楚,环形硬化(↑)。
【影像诊断】:右侧股骨骨嗜酸性肉芽肿。
【MRI图片】:
图片
【影像表现】:MRI T1WI(A、B)示左侧股骨头关节面下不规则低信号(↑),边缘为线状更低信号,T2WI(C)呈等信号(↑),关节面及关节间隙正常。
【影像诊断】:左侧股骨头缺血坏死Ⅱ期。
【MRI图片】:
图片
【影像表现】:MRI T2WI(A)示膝关节内侧半月板后角撕裂(▲),后角见粗线状高信号,达关节面,髌上囊积液(↑);另一例(B)外侧盘状半月板伴损伤,外侧半月板呈平行板状(↑),达到髁间棘水平,同时信号增高,为损伤表现。
【影像诊断】:膝关节半月板损伤。
【普通放射图片】:
图片
【影像表现】:手指X线正位示第五中节指骨呈边缘清楚的类圆形低密度骨破坏区,皮质膨胀变薄(↑)。
【影像诊断】:第五中节指骨内生软骨瘤。
【CT图片】:
图片
【影像表现】:CT扫描软组织窗(A)、骨窗(B)、MPR(C)、VR(D)示左侧髂骨骨质缺损区,周围硬化边不明显。
【影像诊断】:左侧髂骨骨软骨瘤2。
【普通放射图片】:
图片
【影像表现】:X线侧位片(A)示右胫骨上端溶骨性骨质破坏区(↑);MRI矢状面T1WI(B)示病灶边界清楚,呈低信号(↑);脂肪抑制增强扫描矢状面(C)示病灶强化明显(↑)。
【影像诊断】:右胫骨上端骨巨细胞瘤。
【普通放射图片】:
图片
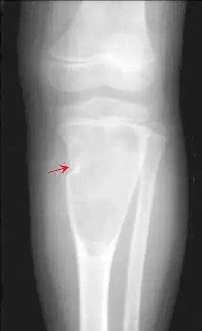
【影像表现】:X线平片显示胫骨不完全性骨折裂,骨折线不明显。
【影像诊断】:胫骨青枝骨折。
【普通放射图片】:
图片
【影像表现】:A:外伤致骨化性肌炎,胫骨内侧上段软组织内可见钙化灶(↑),B:左腋下淋巴结钙化,左侧腋下软组织内见条状钙化灶。
【影像诊断】:软组织钙化(外伤致骨化性肌炎)的X线表现。
【普通放射图片】:
图片
【影像表现】:X线股骨正位(A)及侧位(B)示中下段股骨髓腔中心不规则骨质破坏,周边花边状骨膜反应;另一病例,MRI T2WI矢状面(C)及横断面(D)示胫骨髓腔内骨质破坏,部分皮质受累;周围软组织水肿。
【影像诊断】:急性骨髓炎。
【MRI图片】:
图片
【影像表现】:MRI平扫示右肱骨干骺端骨质破坏(↑),横断面T1WI(A)为低信号,冠状面T2WI(B)为不均匀稍高信号,增强扫描(C)呈不均匀强化。
【影像诊断】:右肱骨干骺端骨髓瘤。
【普通放射图片】:
图片
【影像表现】:A:膝关节X线平片显示右侧髌上囊积液,右侧髌韧带抬高(↑),髌上囊密度增高;B:CT平扫清晰显示关节囊内积液(↑)。
【影像诊断】:膝关节腔内积液。
【普通放射图片】:
图片
【影像表现】:X线正、侧位片(A、B)示胫骨中段广泛性髓腔硬化(*),与皮质增厚不能区分,骨干增粗。
【影像诊断】:左胫骨中段慢性硬化性骨髓炎。
【CT图片】:
图片
【影像表现】:X线正位片示胫骨上端膨胀性类圆形囊状透光区,伴病理骨折及折片凹陷征(↑)。
【影像诊断】:病理性骨折,骨囊肿并骨折。
【普通放射图片】:
图片
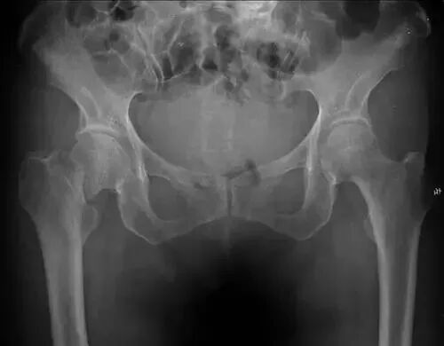
【影像表现】:X线骨盆正位示右侧股骨颈骨折,断端相互嵌入
【影像诊断】:右侧股骨颈嵌入型骨折。
【MRI图片】:
图片
【影像表现】:MRI平扫示右侧股骨下段骨皮质明显增粗,髓腔信号异常,骨髓腔T2WI(A)呈混杂信号,T1WI(B)信号亦不均匀,以低信号为主,增强扫描(C、D)骨髓腔轻度斑片状强化(↑)。
【影像诊断】:右侧股骨下段慢性硬化型骨髓炎伴死骨形成。
【CT图片】:
图片
【影像表现】:X线胫骨正位(A)示胫骨上端溶骨性骨肉瘤,呈溶骨性骨质破坏;另一例成骨型骨肉瘤(B),X线平片示胫骨上端磨玻璃状密度增高影;混合型骨肉瘤(C,D),平片(C)示股骨下段骨膜反应,Cordman三角(↑)和巨大软组织肿块,MRI T2WI脂肪抑制序列(D)示股骨下段骨质破坏,周围伴软组织肿块形成。
【影像诊断】:骨肉瘤。
【CT图片】:
图片
【影像表现】:CT定位像(A)示右桡骨远端皂泡状膨胀性骨质破坏区,边界清楚;横断面平扫软组织窗(B)、骨窗(C)示破坏区形态不规则,呈软组织密度,内见高密度骨性间隔。
【影像诊断】:右桡骨远端骨巨细胞瘤。
【MRI图片】:
图片
【影像表现】:右股骨下段占位。T2WI(B)显示右股骨下段混杂信号区,累及皮髓质,骨膜增厚外突;T1WI(A)肿瘤呈不均匀低信号;增强扫描(C、D)肿瘤明显不均匀强化。
【影像诊断】:右侧股骨下段骨肉瘤。
【MRI图片】:
图片
【影像表现】:左侧股骨上段信号异常。T2WI(B)显示左侧股骨上段不均匀略高信号区,边界不清晰,左侧股骨内外侧肌信号增高;T1WI(A)肿瘤为不均匀低信号;增强扫描(C)肿瘤呈轻度不均匀强化。
【影像诊断】:左侧股骨上段骨纤维肉瘤。
【CT图片】:
图片
【影像表现】:X线正位(A)显示骨皮质增厚,髓腔变窄;CT矢状面MPR重建(B)显示增厚的骨皮质和髓腔内小块死骨;CT横断面(C)显示增厚的皮质和髓腔内死骨。
【影像诊断】:胫骨中上段慢性骨髓炎。
【MRI图片】:
图片
【影像表现】:T2WI(B)C4、C5椎体骨折,C4椎体后滑脱,相应水平脊髓受压变细,信号增高;T1WI(A)示脊髓变细,信号减低。
【影像诊断】:颈段脊髓损伤。
【CT图片】:
图片
【影像表现】:CT骨窗MPR重建(A)及横断面(B)示脊椎生理曲度变直,诸椎体边缘毛糙、变尖,骨纹理稀疏,骨密度弥漫性减低。
【影像诊断】:骨质疏松2。
【CT图片】:
图片
【影像表现】:CT平扫(A)示骶骨左侧膨胀性骨破坏区,偏心性生长,伴软组织肿块,增强扫描(B)病灶明显强化,硬脊膜囊受压。
【影像诊断】:骶骨巨细胞瘤。
【MRI图片】:
图片
【影像表现】:左侧股骨下段骨质信号异常,T1WI(A)为等低混杂信号(↑),T2WI(B)为混杂信号(↑),病变侵犯周围软组织形成肿块,增强扫描(C)有不均匀强化(↑),关节未受累。
【影像诊断】:股骨远端骨肉瘤。
【普通放射图片】:
图片
【影像表现】:X线股骨正位(A)示股骨下端骨性突起(↑);X线骨盆正位(B)示右侧耻骨呈结节状突起;X线锁骨正位(A)示右侧锁骨呈菜花状突起。
【影像诊断】:骨软骨瘤。
【MRI图片】:
图片
【影像表现】:MRI示左侧髂骨体类圆形骨质破坏区(↑),T1WI(A)呈均匀低信号,T2WI(B)呈明亮高信号。
【影像诊断】:左侧髂骨骨囊肿。
【CT图片】:
图片
【影像表现】:腰4/5椎间盘CT平扫(A)示椎间盘变性其内“真空征”(↑)并膨出;颈5/6椎间盘CT平扫(B)见椎间盘后正中型突出,并有椎间盘后缘的点状钙化;腰2椎体CT平扫(C)示腰2椎体上缘内Schmorl结节(↑),周边见骨质硬化边。腰4/5椎间盘CT平扫(D)示腰5椎体后上缘的软骨结节(↑)。
【影像诊断】:椎间盘退行性变。
【MRI图片】:
图片
【影像表现】:双侧髋关节MRI冠状面T1WI(A)、T2脂肪抑制像(B)、质子加权像(C)均显示双侧股骨头异常信号(↑)。
【影像诊断】:股骨头无菌性坏死。
【MRI图片】:
图片
【影像表现】:胫骨上段占位。T2WI(B、C)显示胫骨上段不均匀高信号肿块,膨胀明显;T1WI(A)肿块为低信号;增强扫描(D)肿块明显不均匀强化,中间有斑点状无强化区。
【影像诊断】:胫骨上段骨巨细胞瘤。
【CT图片】:
图片
【影像表现】:CT定位像(A)示左胫骨上端片状骨质破坏区,其内不均匀高密度瘤骨(↑);CT横断面平扫软组织窗(B)见瘤骨(↑)及周围软组织肿块;骨窗(C)示瘤骨呈高密度影,髓腔不规则变窄(↑)。
【影像诊断】:左胫骨上端骨肉瘤。
【普通放射图片】:
图片
【影像表现】:X线腰椎正位(A)示腰段脊柱侧弯,腰3/4椎间盘右宽左窄,并见条形低密度改变的“真空征”(↑),腰3椎体左下缘及腰4椎体左上缘呈唇样增生,侧位片(B)见各腰椎前缘唇样增生,腰1/2椎间隙同样见“真空征”(↑)。
【影像诊断】:腰椎间盘退行性改变。
【普通放射图片】:
图片
【影像表现】:X线股骨下段(A)及肱骨上段(B、C)示病灶延骨长轴生长,边界清晰 ,病变区骨皮质变薄,病灶内可见分隔(C,↑)。
【影像诊断】:骨囊肿。
【MRI图片】:
图片
【影像表现】:脊椎多发信号异常。腰椎矢状面T1WI(A)及T2WI(B)显示T10~S2椎体及附件内多发斑片状低信号区;增强扫描(D)低信号区强化不明显;同一病人颈椎矢状面T1WI(C)显示颈椎椎体内多发低信号区。
【影像诊断】:颈、胸、腰椎体多发骨髓瘤。
【CT图片】:
图片
【影像表现】:左侧肱骨上段信号异常。T2WI(B、C)显示左侧肱骨上段不均匀高信号区,边界不清晰,左侧肱骨上段层状骨膜反应(箭头),肿瘤周围软组织肿胀,信号增高;T1WI(A)肿瘤为低信号,肱三头肌内斑片状高信号;X线(D)显示左侧肱骨上段骨质破坏。
【影像诊断】:左侧肱骨尤文肉瘤。
【CT图片】:
图片
【影像表现】:CT平扫横断面(A)、VR重建(B)及MPR重建(C)显示右侧髋臼粉碎性骨折,关节间隙变窄,周围见多个骨碎片。
【影像诊断】:右侧髋臼关节粉碎性骨折并脱位。
【MRI图片】:
图片
【影像表现】:右侧髂骨信号异常。T2WI(B)显示右侧髂骨骨质破坏,其内上方见椭圆形肿块,为不均匀等信号,中间散在点、条状低信号;T1WI(A)肿块为不均匀低信号,增强扫描(C、D)肿块明显不均匀强化。
【影像诊断】:右侧髂骨软骨肉瘤。
【MRI图片】:
图片
【影像表现】:X线头颅侧位(A)及CT横断面骨窗(B)可见多个圆形、虫蚀状骨质破坏区;另一病例CT横断面(C)示椎体及椎小关节多发骨质破坏,病灶边界欠清晰;另一病例MRI T2WI(D)示颅骨骨髓瘤。
【影像诊断】:骨髓瘤。
【CT图片】:
图片
【影像表现】:CT平扫横断面(A)、MPR(B)及VR重建(C)显示左侧耻骨、坐骨粉碎性骨折(↑),左侧股骨头脱出臼窝(▲ )。
【影像诊断】:左侧髋关节骨折伴脱位。
【MRI图片】:
图片
【影像表现】:MRI平扫T2WI(A)示后交叉韧带低信号内高信号影,示部分断裂(↑),断裂周围出血呈高信号(↑),T1WI(B)髌上囊积液(↑↑)。
【影像诊断】:右膝后交叉韧带不完全断裂。
【CT图片】:
图片
【影像表现】:CT扫描(A、B)示左侧髂骨类圆形肿块(↑),密度不均匀,内部可见大片状钙化,肿块呈菜花状,以宽基底与髂骨外侧骨皮质相连,臀肌向两侧推移。
【影像诊断】:左侧髂骨骨软骨瘤1。
【CT图片】:
图片
【影像表现】:CT扫描骨窗(B)示右侧顶骨穿凿样骨破坏区,边缘欠规则,内、外板及板障同时受累,软组织窗(A)示破坏区填充软组织肿块影(↑)跨越颅板。
【影像诊断】:右侧顶枕部颅骨嗜酸性肉芽肿。
【普通放射图片】:
图片
【影像表现】:X线正、侧位片(A、B)示股骨骨质疏松,矿化不足,变形;股骨远端干骺端膨大,骨质模糊,股骨中段可见病理骨折(B,↑)。
【影像诊断】:Fanconi综合征。
【MRI图片】:
图片
【影像表现】:MRI平扫示左股骨头内条索状异常信号区(↑)。右侧股骨头变形,软骨面塌陷(↑),呈长T1(C)长T2(A)改变,增强扫描(B)强化不明显。
【影像诊断】:双侧股骨头缺血性坏死2。
【MRI图片】:
图片
【影像表现】:左侧股骨信号异常。T2WI(B)显示左侧股骨粗隆间局灶型高信号区;T1WI(A)为低信号,周边有一硬化边;增强扫描(C)肿块呈明显强化。
【影像诊断】:左侧股骨骨纤维异常增殖症。
【普通放射图片】:
图片
【影像表现】:X线骨盆正位(A)示左侧耻骨下支疲劳骨折,断端骨膜增生呈小丘状;X线足正位(B)示第二跖骨中段疲劳骨折,可见骨膜反应;股骨下段X线正位(C)股骨下段疲劳骨折,局部皮质毛糙,可见骨膜反应。
【影像诊断】:疲劳性骨折。
【CT图片】:
图片
【影像表现】:CT平扫软组织窗(A、 C)、骨窗(B)示右侧髂骨溶骨性骨破坏区及软组织肿块(A、B,*),右侧股骨低密度骨破坏(C,↑)。
【影像诊断】:骨盆、股骨多发骨转移瘤。
【普通放射图片】:
图片
【影像表现】:腰椎X线正位(A)示腰5椎体变扁,右侧椎弓根及横突显示不清(↑);CT横断面(B)显示椎体、右侧椎弓根及横突骨质破坏,病灶边界模糊。MRI矢状面T1WI增强扫描(C)显示腰5椎体变扁,病变突入椎管内,并可见病变强化;核素显像(D)示脊椎及骨盆多发放射性浓聚。
【影像诊断】:骨转移瘤。
【普通放射图片】:
图片
【影像表现】:X线侧位片示右股骨近侧干骺端膨胀性类圆形骨质破坏区,内可见骨嵴,局部骨皮质变薄,边界清楚、轻度硬化。
【影像诊断】:右股骨骨囊肿(多房型)。
【普通放射图片】:
图片
【影像表现】:X线正、侧片(A)示桡骨下端溶骨性破坏区,边缘清晰,骨皮质变薄、膨胀。右腕X线正位片(B)示桡骨远端皂泡状骨破坏(↑),边界清晰,骨皮质变薄、膨胀。
【影像诊断】:右桡骨下端良性骨巨细胞瘤(病理Ⅰ级)。
【普通放射图片】:
图片
【影像表现】:X线肩关节正位示右肱骨头脱出关节盂。
【影像诊断】:右肩关节前下脱位。
【CT图片】:
图片
【影像表现】:CT横断面平扫骨窗示左坐骨外侧一带蒂骨性突起(↑),顶端软骨帽线状钙化。
【影像诊断】:左侧坐骨骨软骨瘤。
【MRI图片】:
图片
【影像表现】:MRI平扫右侧肱骨中段见梭形异常信号区(↑),T1WI(A)呈不均匀等信号,T2WI(B)呈高信号,病灶周围骨皮质破坏。增强后(C)呈不均匀强化,周围软组织有斑片状强化。
【影像诊断】:右侧肱骨中段嗜酸性肉芽肿。
【MRI图片】:
图片
【影像表现】:MRI示膝关节间隙不均匀狭窄,关节面毛糙(A,↑),边缘骨赘形成,T1WI(A)、T2WI(B)均为低信号,关节腔少量积液(B,↑)、呈长T1长T2改变。
【影像诊断】:左膝退行性关节病。
【普通放射图片】:
图片
【影像表现】:X线正侧位片(A、B)示双下肢骨质密度减低,结构模糊,提示矿化不足。干骺端模糊、杯口状膨大,双下肢变形呈“O”形腿。
【影像诊断】:佝偻病。
【MRI图片】:
图片
【影像表现】:MRI双侧股骨头内异常信号,T1WI(A、C)呈不规则斑片状低信号(↑),T2WI(B、D)呈不规则混杂信号带(↑),关节囊积液呈长T1长T2改变。
【影像诊断】:双侧股骨头缺血性坏死1。
【普通放射图片】:
图片
【影像表现】:X线平片示腓骨近端骨软骨瘤,肿瘤基底部的骨皮质与小梁均与母体骨相连续。
【影像诊断】:腓骨骨软骨瘤。
【CT图片】:
图片
【影像表现】:CT平扫见蝶窦、斜坡巨大骨质破坏区,膨胀性生长,周围似有一完整的骨壁,密度混杂。
【影像诊断】:蝶窦、斜坡及鞍上骨软骨瘤。
【普通放射图片】:
图片
【影像表现】:X线正位片(A)示双手诸骨骨质矿化不足,拇指末节假性骨折(↑)。X线正位片(B)示甲状旁腺机能亢进,右手第2-4掌骨、近节指骨骨质疏松,骨膜下骨吸收,骨结构模糊。
【影像诊断】:肾性骨质软化症及甲状旁腺机能亢进。
【普通放射图片】:
图片
【影像表现】:X线肘关节正位(A)及侧位(B)示骨折向前成角,远折端向后移位。
【影像诊断】:肱骨髁上骨折伸直型。
【普通放射图片】:
图片
【影像表现】:X线胫骨正位(A)示胫骨上端呈膨胀性骨质破坏;腕关节X线正位(B)示桡骨远端皂泡样改变,边缘清楚;MRI T2WI(C)示右侧股骨上段小片状混杂信号。
【影像诊断】:骨巨细胞瘤。
【CT图片】:
图片
【影像表现】:CT平扫软组织窗(A、C)示左侧髂骨、胸12椎体多发骨质破坏区,骨窗(B、D)示病灶边缘高密度硬化边(↑)。骨质破坏区周围未见软组织肿块影。
【影像诊断】:腰骶椎及双侧髂骨多发骨髓瘤。
【普通放射图片】:
图片
【影像表现】:X线正位片(A、B)示双手及腕诸骨骨质疏松,关节边缘破坏,关节间隙狭窄,桡骨关节面下骨质囊变(B,↑),近端指间关节软组织梭形肿胀(A,↑)。
【影像诊断】:类风湿性关节炎(进展期)。
【MRI图片】:
图片
【影像表现】:MRI T1WI示右股骨外侧片状高信号影(↑),信号强度高于肌肉,病灶内可见点状、条状低信号带。
【影像诊断】:右侧股骨外侧软组织血管瘤。
【普通放射图片】:
图片
【影像表现】:双手X线平片示多个指间关节软组织呈梭形肿胀,双手诸骨骨质疏松,多个指间关节和掌指关节间隙狭窄,边缘性骨质侵蚀,左手第1~3掌指关节半脱位(↑);桡腕、腕骨间和腕掌诸关节亦见骨质破坏和关节间隙狭窄。
【影像诊断】:类风湿性关节炎2。
【CT图片】:
图片
【影像表现】:CT平扫骨窗(A)、软组织窗(B、C)示L5/S1椎体骨质多灶斑片状骨质破坏区,边界清楚;椎旁冷脓肿(↑),以右侧为重,左侧骶髂关节破坏(C)。
【影像诊断】:腰5、骶1椎体结核并冷脓肿。
【MRI图片】:
图片
【影像表现】:前列腺癌患者。T2WI(B、C、E)颈、胸、腰椎体及附件多发异常信号占位,部分病灶为低信号,部分为高信号;T1WI(A、D)显示病灶为低信号;增强扫描(F)病灶强化程度不一,部分强化明显。
【影像诊断】:颈、胸及腰椎多发转移瘤。
【MRI图片】:
图片
【影像表现】:MRI矢状面T2WI显示第6胸椎椎体受压变扁,并可见椎体前方和后方的软组织肿块(↑),呈中等信号,后者突入椎管,压迫脊膜囊。
【影像诊断】:胸椎嗜酸性肉芽肿。
【MRI图片】:
图片
【影像表现】:T2WI脂肪抑制像(B)右侧股骨上段混杂信号占位,边界清晰,周边有一薄壁硬化边;T1WI(A)呈低信号;增强扫描(C)呈现明显不均匀强化,下部囊性区无强化。
【影像诊断】:右侧股骨骨纤维异常增殖症。
【普通放射图片】:
图片
【影像表现】:X线正、侧位片(A、B)示尺、桡骨骨质密度减低、疏松,干骺端骨质模糊,呈杯口状膨大(A,↑)。
【影像诊断】:抗维生素D佝偻病。
【普通放射图片】:
图片
【影像表现】:X线手正位示双手骨质疏松,关节间隙变窄,关节面骨质破坏。部分腕骨破坏、融合。
【影像诊断】:类风湿性关节炎1。
【MRI图片】:
图片
【影像表现】:MRI T2WI冠状面(A)显示左下肢皮下与肌肉之间类圆形异常信号,病灶与周围肌肉组织的界限不清,肌肉间脂肪间隙消失;增强扫描(B)显示病灶实质区不均匀强化,中央坏死区未见强化(↑)。
【影像诊断】:左下肢前肌群平滑肌肉瘤。
【普通放射图片】:
图片
【影像表现】:颈椎侧位平片(A)示C4~6椎体骨质破坏,椎间隙变窄,咽后壁软组织肿胀;同一病例颈椎矢状MRI T2WI(B),示C4~6椎体破坏、信号增高,结核性脓肿主要位于咽后壁,同时也突向椎管压迫脊膜囊(↑)。
【影像诊断】:颈4~6椎体结核。
【MRI图片】:
图片
【影像表现】:MRI T1WI显示右膝关节股骨内侧类圆形高信号影,边缘光滑,与周围肌肉边界清晰。
【影像诊断】:右侧股骨内侧软组织脂肪瘤。
【普通放射图片】:
图片
【影像表现】:X线正、侧位片(A、B)示诸腰椎前面的凹面消失(B,↑),椎体呈“方椎”,椎间小关节模糊不清。
【影像诊断】:强直性脊柱炎(早期)。
【普通放射图片】:
图片
【影像表现】:X线平片示中节指骨近端骨骺骨折伴干骺端三角形折片(A),肱骨下端(B)小头骨骺分离伴外上髁板状撕脱骨折(↑)。
【影像诊断】:骨骺骨折。
【普通放射图片】:
图片
【影像表现】:内生性软骨瘤并骨折 X线平片示近节指骨椭圆形膨胀性骨质破坏伴点状钙化,内见条状透明骨折线(↑)。
【影像诊断】:病理性骨折。
【普通放射图片】:
图片
【影像表现】:X平片示肱骨小头骨化中心(↑↑)连同部分干骺端撕脱的骨片(↑)向外下方移位,局部软组织肿胀。
【影像诊断】:肱骨小头骨骺骨折。
【普通放射图片】:
图片
【影像表现】:A:左侧骶髂关节软骨肉瘤,平片示瘤内见雪花状钙化;B:右侧股骨软骨肉瘤 平片示软组织肿块明显,瘤内见斑片状钙化。
【影像诊断】:软骨肉瘤。
【CT图片】:
图片
【影像表现】:(A)良性骨巨细胞瘤;(B)骨纤维肉瘤
【影像诊断】:良恶性骨肿瘤的鉴别。
【CT图片】:
图片
【影像表现】:CT扫描(A~C)示右侧胫骨不规则骨破坏区(↑),偏心性生长,破坏区内有软组织密度肿块,瘤体无钙化,周围可见硬化边。
【影像诊断】:右侧胫骨上段恶性纤维组织细胞瘤。
【普通放射图片】:
图片
【影像表现】:X线正位片(A)示颅骨骨质疏松,多发穿凿样骨质破坏区,无硬化边;X线侧位片(B)示另一病侧颅骨分散穿凿样骨破坏区。
【影像诊断】:颅骨多发骨髓瘤。
【MRI图片】:
图片
【影像表现】:MRI扫描示右侧髂骨溶骨性骨质破坏灶(*),周边包绕软组织肿块影,边界不清,呈长T1(A)、长T2(B)改变,信号不均匀,右侧腰大肌明显受压前移,骶髂关节间隙消失,增强后(C)呈斑片状强化。
【影像诊断】:右侧髂骨软骨肉瘤。
【普通放射图片】:
图片
【影像表现】:X线正、侧位(A、B)示股骨远端膨胀性溶骨性骨质破坏区,边界模糊,广泛性骨皮质断裂,周围见软组织肿块影。
【影像诊断】:右股骨远端骨巨细胞瘤(恶性)。
【CT图片】:
图片
【影像表现】:X线额骨正位示额窦内类圆形骨性突起,骨质致密如象牙。
【影像诊断】:额窦内致密型骨瘤。
【普通放射图片】:
图片
【影像表现】:X线正位片(A)示左股骨下端分房状膨胀性骨质破坏区,边缘清楚,无硬化边,皮质变薄、膨胀,无骨膜反应;CT骨窗横断面(B、C)示破坏区形态不规则,其内呈不均匀软组织密度,瘤壁有骨嵴,骨皮质不完整,周围局限性软组织肿块。
【影像诊断】:左股骨下端骨巨细胞瘤。
【MRI图片】:
图片
【影像表现】:前颅窝占位。T2WI(B)呈不均匀高信号,中间有低信号分隔,边界清晰,周围组织受挤压;T1WI(A)肿瘤为不均匀低信号;增强扫描(C、D)肿瘤边缘及内部分隔有强化。
【影像诊断】:颅底软骨瘤。
【MRI图片】:
图片
【影像表现】:MRI T1WI(A)示股骨外侧类圆形低信号软组织影,体积巨大,边缘欠光整,局部脂肪间隙变窄、消失;T2WI(B)显示病灶为等信号,病灶下方软组织可见高信号水肿(↑)。
【影像诊断】:右大腿滑膜肉瘤。
【MRI图片】:
图片
【影像表现】:A.右手平片示鱼际部一低密度的软组织肿块影(↑);B.同一病例右手MRI T2WI见第1、2掌骨间一分叶状高信号肿块影,其信号强度与脂肪组织相同(↑)。
【影像诊断】:软组织脂肪瘤。
【MRI图片】:
图片
【影像表现】:T2WI(B、D)显示L3椎体及椎旁软组织内高信号,并向后压迫硬膜囊;T1WI(A)为低信号;增强扫描(C、E、F)病灶呈环形强化,脓液无强化。
【影像诊断】:腰3椎体结核并椎旁冷脓肿。
【CT图片】:
图片
【影像表现】:CT平扫(A)示右侧髂骨及骶骨骨质破坏,周围形成巨大软组织肿块(T),病灶边界欠清,右侧臀肌受累,强化后(B、C)病灶呈明显强化。
【影像诊断】:右侧臀部软组织肉瘤
【MRI图片】:
图片
【影像表现】:T2WI(B)显示C5/6椎间隙及椎间盘消失,C5、C6椎体变形、融合,呈不均匀高信号,后缘脓肿压迫硬膜囊;T1WI(A)显示病灶呈不均匀低信号;增强扫描(C、D)病灶呈明显不均匀强化。
【影像诊断】:颈5、6椎体结核并周围冷脓肿。
【CT图片】:
图片
【影像表现】:CT横断面(A、B)、MPR冠状面(C)及VR重建(D、E)显示胸12椎体及腰1、腰2双侧横突粉碎性骨折裂(↑),碎骨片嵌入椎管,压迫脊髓。
【影像诊断】:胸腰椎粉碎性骨折。
【MRI图片】:
图片
【影像表现】:T2WI(B)C2椎体齿状突骨折,相应水平脊髓内片状高信号区;T1WI(A)脊髓信号未显示异常。
【影像诊断】:颈2层面颈髓损伤。
【普通放射图片】:
图片
【影像表现】:X线正、侧位片(A、B)示诸腰椎侧、前纵韧带钙化,形成“竹节椎”,椎间小关节骨性强直及钙化(B,↑)。
【影像诊断】:强直性脊柱炎(进展期)。
【CT图片】:
图片
【影像表现】:CT平扫软组织窗示腰4/5椎间盘向后中央偏左突出,压迫左侧神经根及硬膜囊。
【影像诊断】:腰4、5椎间盘突出2。中央偏左型突出(左旁中央型)
【MRI图片】:
图片
【影像表现】:MRI平扫T1WI(A)及T2WI(B)示腰椎多个椎体内多发的异常信号区,T1WI呈低信号,T2WI呈略低信号,边界尚清,病灶大小不一,增强扫描(C)病变不均匀强化。
【影像诊断】:腰椎骨转移瘤。
 
【CT图片】:
图片
【影像表现】:CT横断面示腰4/5间盘后缘局限向右后外侧突出(↑),并压迫硬膜囊,右侧隐窝明显变窄,硬膜外脂肪消失。
【影像诊断】:腰4、5椎间盘突出。
【普通放射图片】:
图片
【影像表现】:骨盆正位X线片示骨矿化不足,骨盆腔三角样变形,坐、耻骨假性骨折(↑)。
【影像诊断】:骨盆骨质软化症。
【普通放射图片】:
图片
【影像表现】:X线侧、正位(A、B)片示尺骨远段轻度膨胀性椭圆形骨破坏(↑),局部骨皮质变薄,边界清楚,轻度硬化。
【影像诊断】:尺骨骨囊肿(单房型)。
【普通放射图片】:
图片
【影像表现】:X线正、侧位片(A、B)示胫骨近侧干骺端膨胀性椭圆形骨破坏,边界清楚,有硬化边,局部骨皮质变薄,可见折片“凹陷征”(A,↑)。
【影像诊断】:胫骨骨囊肿。
【MRI图片】:
图片
【影像表现】:T2WI(B、C)腰3~4、腰4~5椎间盘信号减低,腰4~5椎间盘向正后方突出,受压硬膜囊,硬膜囊前脂肪间隙消失;T1WI(A) 突出椎间盘呈等信号,硬膜外脂肪线中断。
【影像诊断】:腰4、5椎间盘突出(中央型)。
【普通放射图片】:
图片
【影像表现】:X线腰椎正位(A)、侧位(B)显示T12椎体上部终板塌陷,皮质断裂,呈楔形改变(↑)。
【影像诊断】:胸椎压缩性骨折。
【CT图片】:
图片
【影像表现】:CT平扫软组织窗(A)和骨窗(B~D)示椎体内边界清楚的溶骨性(↑)和成骨性(↑)骨质破坏,另于右侧胸腔内见积液(▲)。
【影像诊断】:胸椎骨转移瘤。
 
【MRI图片】:
图片
【影像表现】:T2WI(B、C、D)显示腰5~骶1椎间隙左后方低信号软组织突入椎管,硬膜囊受压,双侧隐窝狭窄,右侧显著;T1WI(A)突出椎间盘呈等信号,硬膜外高信号脂肪线中断。
【影像诊断】:腰5、骶1椎间盘突出。
【MRI图片】:
图片
【影像表现】:右侧股骨上段囊性占位。T2WI(B)呈高信号,边界清晰,轻度膨胀,周边可见硬化边;T1WI(A)呈低信号;增强扫描(C、D)囊壁有轻度强化,囊腔内可见分隔。
【影像诊断】:动脉瘤样骨囊肿。
【MRI图片】:
图片
【影像表现】:MRI定位片(A)示腰2、3椎体骨质破坏呈楔形变,椎间隙消失,横断面示椎旁腰大肌明显肿胀增厚,呈长T1(B)长 T2(D)改变,增强扫描(C)强化不明显(↑)。
【影像诊断】:腰2、3椎体结核并椎旁脓肿。
 
【普通放射图片】:
图片
【影像表现】:X线正位片示腰椎内可见三条纵形钙化带(↑),呈“车辙征”,双髋关节、骶髂关节骨性强直,双髋畸形。
【影像诊断】:强直性脊柱炎(晚期)。
【MRI图片】:
图片
【影像表现】:MRI平扫T2WI(A)T1WI(B)示腰4椎体前移,脊柱序列线中断。
【影像诊断】:腰椎滑脱。
 
【CT图片】:
图片
【影像表现】:CT平扫横断面示腰5/骶1椎间盘后缘局限向右外侧突出(↑),并压迫硬膜囊,右侧侧隐窝轻度变窄,右侧神经根受压移位。
【影像诊断】:腰5、骶1椎间盘突出。
【普通放射图片】:
图片
【影像表现】:X线正位片示指骨压迫性骨质破坏、变形,与巨大圆形肿块相连,肿块内多发环、点状钙化。
【影像诊断】:软骨钙化(指骨软骨瘤)。
 
【普通放射图片】:
图片
【影像表现】:X线正侧位片示前臂、腕、手骨密度减低,矿化不足,干骺端膨大、模糊,呈“杯口状”改变(↑),腕骨出现迟。
【影像诊断】:肾性佝偻病。
 
【MRI图片】:
图片
【影像表现】:T2WI(B、C)显示颈椎生理曲度变直,C2/3~C5/6椎间盘信号减低,C3/4椎间盘向后突出,相应层面蛛网膜下腔隙变窄,脊髓轻度受压;T1WI(A)显示突出间盘呈等信号。
【影像诊断】:颈3、4椎间盘突出。
【普通放射图片】:
图片
【影像表现】:X线正位片(A、B)示额窦壁有结节状均匀高密度影突入窦腔(↑)。
【影像诊断】:额窦骨瘤。
【MRI图片】:
图片
【影像表现】:MRI平扫见左侧肱骨近段内侧疣样突起,呈宽基底,边缘清晰,周围软组织肿胀,T1WI(A)内见斑片状高信号(↑),提示伴有出血,T2WI抑脂序列(B)上段肱骨及软组织影以高信号为主,增强扫描(C)软组织呈环形强化。
【影像诊断】:左侧肱骨近段骨软骨瘤。
 
【普通放射图片】:
图片
【影像表现】:X线正斜位片(A、B)示股骨下端膨胀性、皂泡状骨破坏,边界清晰,骨皮质变薄、膨胀。
【影像诊断】:股骨下端骨巨细胞瘤(皂泡型)。
 
【MRI图片】:
图片
【影像表现】:MRI平扫T1WI(B)、T2WI(A、C)示胸7、8椎体相邻缘骨质破坏,相应椎间隙变窄,局部椎管内硬膜外冷脓肿形成,脊髓受压变形。
【影像诊断】:胸7、8椎体结核。
【MRI图片】:
图片
【影像表现】:MRI矢状面平扫T2WI(A)示L4/5和L5/S1椎间盘髓核信号减低,并见腰5/骶1椎间盘突出,横断面T2WI(B)示腰5/骶1椎间盘向右后方突出(↑);颈椎MRI矢状面T2WI(C)示颈5/6椎间盘脱出,压迫脊髓,髓内见高信号;腰椎MRI矢状面T2WI(D)示腰2椎体上缘和腰3椎体下缘(↑)Schmorl结节形成。
【影像诊断】:椎间盘退行性变。
 
【CT图片】:
图片
【影像表现】:双侧髋关节X线正位(A)、CT冠状面重建(B)及横断面(C)示左侧股骨头变形,病变区星芒状骨小梁消失,代之以低密度囊变和高密度硬化;MRI成像(D)示股骨头区出现片状低信号区。
【影像诊断】:左侧股骨头坏死。
 
【CT图片】:
图片
【影像表现】:腰椎CT横断面骨窗(A)示椎体边缘及椎体中央骨质破坏;软组织窗(B)示左腰大肌肿胀,前外方可见类圆形低密度脓肿;MRI T2WI(C)显示左腰大肌脓肿呈分叶状,脓液为等高低混杂信号。
【影像诊断】:腰椎结核合并腰大肌脓肿。
【CT图片】:
图片
【影像表现】:CT平扫(A)见颈5~6间隙新月形中等密度影自椎间盘向后突入椎管内,脊膜囊受压;腰椎矢状MRI T2WI(B),见腰4~5间隙变窄,髓核向后突入椎管内,脊膜囊明显受压。
【影像诊断】:椎间盘突出。
【MRI图片】:
图片
【影像表现】:胸椎矢状面MRI平扫T1WI(A)示椎间盘内低信号压迫脊髓,T2WI(B)也为低信号;颈椎MRI矢状面T2WI(C)示黄韧带增厚致椎管狭窄,压迫脊髓,髓内见高信号,提示脊髓变性。
【影像诊断】:继发性椎管狭窄。
【CT图片】:
图片
【影像表现】:CT横断面软组织窗(A)及骨窗(B)示椎小关节增生,椎管变形狭窄,椎体后缘显示“双边征”(A,↑).
【影像诊断】:腰椎滑脱。
【MRI图片】:
图片
【影像表现】:MRI平扫T2WI(A)T1WI(B)及STIR序列(C)显示胸11椎体类圆形骨质破坏区,边界清楚,T1WI呈低信号,T2WI呈不均匀高信号,STIR呈明显高信号,其内显示特征性“栅栏样”粗大骨小梁(C,↑),骨皮质完整。
【影像诊断】:胸椎血管瘤。
 
【CT图片】:
图片
【影像表现】:胸椎CT平扫骨窗横断面(A)及冠状面重建(B)示椎体类圆形破坏区,边界不清,点状高密度增粗骨小梁呈特征性“圆点花纹布样”改变(A,↑)。
【影像诊断】:胸椎血管瘤1。
【MRI图片】:
图片
【影像表现】:T2WI(B、C)C4层面脊髓内高信号区,边缘清楚;T1WI(A)病灶呈现低信号。
【影像诊断】:颈段脊髓软化。
【普通放射图片】:
图片
【影像表现】:X线腰椎正位(A)、侧位(B)显示腰4椎体前移,椎弓根峡部显示完整。
【影像诊断】:腰椎假性滑脱Ⅰ°。
【CT图片】:
图片
【影像表现】:CT平扫骨窗示左眶外侧壁骨质破坏,眶内形成高密度肿块(↑),内见蜂窝状钙化。
【影像诊断】:软骨钙化(左眶软骨肉瘤)。
【普通放射图片】:
图片
【影像表现】:X线腰椎正位(A)、侧位(B)显示前纵韧带、黄韧带、棘间韧带及棘上韧带广泛骨化,形成垂直骨桥,呈典型“竹节样”改变,椎小关节模糊不清
【影像诊断】:强直性脊柱炎1。
【MRI图片】:
图片
【影像表现】:CT平扫骨窗(A)示左股骨急性化脓性骨髓炎,层状骨膜反应,周围软组织肿胀;MRI T1WI(B)示股骨骨肉瘤,瘤骨呈低信号,增生骨膜呈分层状
【影像诊断】:骨膜增生。
【普通放射图片】:
图片
【影像表现】:左腓骨上、中1/3处骨干增粗、皮质增厚,局部骨密度增高,中间低密区为脓腔,其内可见长条状死骨(↑),于体外可见敷料影,提示病人局部仍有脓液流出。
【影像诊断】:腓骨慢性化脓性骨髓炎。
 
【普通放射图片】:
图片
【影像表现】:A:股骨骨肉瘤所致的放射状骨膜反应(↑);B:股骨骨髓炎所致的层状骨膜反应(↑);C:股骨骨肉瘤所致的花边状骨膜反应(↑)
【影像诊断】:各种骨膜反应的X线表现。
 
【CT图片】:
图片
【影像表现】:MRI平扫T1WI(A)、T2WI(B)示股骨下段类圆形肿块,信号不均匀,瘤骨T1WI、T2WI均为低信号
【影像诊断】:骨质增生硬化(股骨下段骨肉瘤)。
【普通放射图片】:
图片
【影像表现】:X线正位片(A)示右侧股骨粗隆间及骨干近段骨密度增加,骨皮质增厚,髓腔消失。CT平扫(B)示左股骨骨皮质增厚,骨干增粗,骨密度增加,髓腔密度增加且变形,附近软组织略肿胀
【影像诊断】:骨质增生、硬化(慢性骨髓炎)。
【普通放射图片】:
图片
【影像表现】:A:胫骨骨质增生硬化表现为胫骨上段骨质密度均匀增高(↑);B:股骨外侧髁上方骨质密度减低,骨皮质呈虫蚀样破坏(↑)
【影像诊断】:骨质增生硬化及骨质破坏X线表现。
【CT图片】:
图片
【影像表现】:MRI示左膝关节面硬化、胫骨内侧骨赘形成,T1WI(A)T2WI(B)均为低信号。关节腔少量积液,T1WI(A)呈低信号,T2WI(B)呈明亮高信号
【影像诊断】:关节退行性变。
【CT图片】:
图片
【影像表现】:CT平扫软组织窗(A)、骨窗(B)示双侧髋关节面模糊,关节面骨质不同程度硬化,关节间隙不均匀狭窄
【影像诊断】:关节退行性变。
【普通放射图片】:
图片
【影像表现】:X线髋关节正位(A)和膝关节正位(B)显示关节间隙变窄,关节边缘骨赘形成
【影像诊断】:关节退行性变。
【普通放射图片】:
图片
【影像表现】:X线正、侧位片(A、B)示膝关节及髌股关节面不同程度硬化,边缘增生,髁间嵴肥大,关节间隙不均匀变窄
【影像诊断】:关节退行性变。

发表评论: