当前位置:首页
> .html
导读:
导读现在的胸腔镜技术大大减少了肺大泡手术的创伤,并且可以让病人达到快速康复,由此可见,一旦有症状一定要及时就医,这样才可以得到及时完整的诊疗,随着腔镜技术的发展,病人的手术所承受...
导读现在的胸腔镜技术大大减少了肺大泡手术的创伤,并且可以让病人达到快速康复,由此可见,一旦有症状一定要及时就医,这样才可以得到及时完整的诊疗,随着腔镜技术的发展,病人的手术所承受的痛苦会越来越小。
患者男,16岁,以“左侧胸痛、气促1天”为主诉入院。患者于入院前1天睡醒后突然出现左侧胸痛,程度较轻,尚可忍受,咳嗽时加重,右侧卧位时可减轻,无向他处放射,伴轻微胸闷,无畏寒、发热,无咳嗽、咳痰、咯血、明显气促,无心悸、心前区疼痛,无嗳气、反酸,无呕血、腹泻、血便,无四肢冰冷、头晕等其它不适,遂就诊当地医院,行胸部正位片检查示“左侧气胸”,未予治疗。1天来,患者感活动后稍胸闷,有时感胸痛,无发热、咳嗽、咳痰等不适,为进一步诊治,就诊我院,今门诊拟“左侧气胸”收住入院。自发病以来,精神、睡眠较好,食纳如常,大小便如常。既往身体健康。
入院查体:T:37℃ P:127次/分 R:20次/分 BP:140/88mmHg,神志清楚,步行入院,查体合作。皮肤粘膜无苍白、黄染,浅表淋巴结未触及肿大。双侧瞳孔等大同圆,对光反射灵敏,口唇无发绀。颈软,颈外静脉无努张,甲状腺未及肿大。胸部见专科情况。腹部平坦,腹肌软,无压痛、反跳痛,未及明显包块,肝脾肋下未触及,移动性浊音阴性,肠鸣音4次/分,未闻及气过水音及血管杂音。神经系统、脊柱四肢检查未明显异常体征。专科情况:气管居中,胸廓无畸形,肋间隙无增宽,左侧呼吸运动减弱,无皮下捻发感,左肺触诊语颤减弱,无胸膜摩擦感,左肺叩诊呈鼓音,右肺叩诊呈清音,左肺呼吸音明显减弱,右肺呼吸音清,双肺未闻及干、湿性啰音,未闻及胸膜摩擦音。心前区无隆起及异常搏动,心尖搏动点位于第5肋间左锁骨中线内0.5cm,无震颤及抬举感,心相对浊音界无扩大,心律127次/分,律齐,心音有力,各瓣膜听诊区未闻及病理性杂音。
入院后在局麻下施行左侧胸腔闭式引流(留置猪尾巴导管)术。患者取仰卧位,定位左锁骨中线第2肋间为穿刺点,常规消毒、铺巾,以1%利多卡因作局部浸润麻醉,左手拇指固定穿刺处皮肤,右手持穿刺针(内吸2cm生理盐水),沿穿刺点缓慢进针,保持注射器一定负压,针尖稍指向后侧方,沿肋骨上缘上方缓缓刺入,至抽到液体后停止进针,进针深度约5cm,由注射器末端送入钢丝导芯约15cm,慢慢退出穿刺针,扩皮,放入猪尾巴导管,深度10cm,退出钢丝导芯(未完全退出前即暂夹闭导管以免气体进入),接注射器,开放导管,抽气体后接水封瓶, 固定导管,3M胶布覆盖。过程顺利,患者无不适。咳嗽水封瓶见气泡溢出。
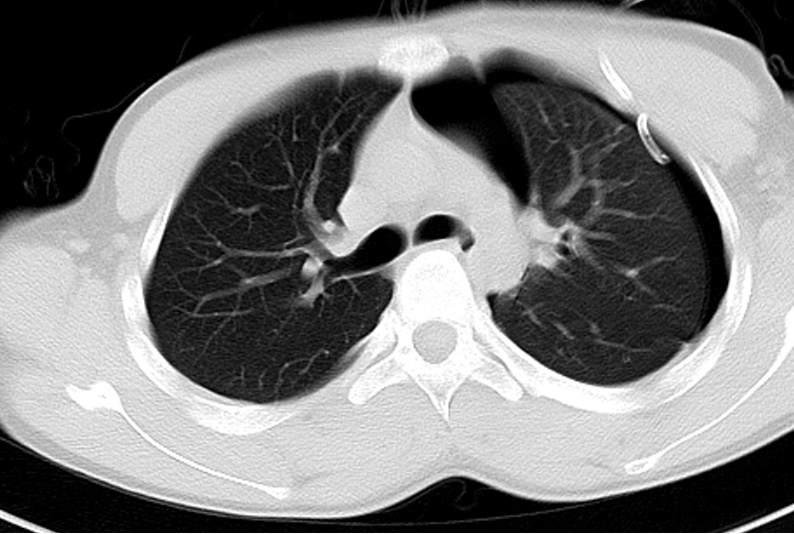
下一步行胸部CT检查:
结合胸部CT所示,可见明显的肺大泡(肺尖处)和气胸。遂在全麻下行胸腔镜下左上肺大泡切除术+胸膜粘连松解术+胸腔闭式引流术:患者麻醉成功后,取右侧90°卧位,常规消毒铺巾,于左腋前线第4肋间作一约5厘米的小切口,钝性分开胸壁肌层及壁层胸膜,经小切口置入套管,胸腔镜进入左胸腔,探查见:左上肺叶肺尖部一个肺大泡,约3.0cm×2.0cm,大泡与壁层胸膜粘连,余肺部未见肺大泡。术中诊断:左上叶肺大泡。在胸腔镜观察下,以电钩分离胸腔粘连;分别导入腔镜用肺钳及60#endo-GIA,提起左肺上肺大泡,以一把60#endo-GIA在肺大庖基底部边缘钳夹后,切除肺大庖,取出标本,检查切缘为肺组织。检查左胸腔见无异常渗血及气泡溢出,于左腋前线第4肋间放置胸闭式引流管各一条且固定于皮肤。清点纱布器械无误,逐层缝合左胸切口各层。术程顺利,术中出血少许,未输血。
手术顺利,术后复查胸片:
患者肺部复张良好,术后第3天顺利拔管出院。
诊疗思路:
对于自发性气胸患者,首先判断是开放还是闭合性气胸,该患者无明显外伤史,故是闭合性气胸。其次判断是否有张力性气胸,张力性气胸多有急促的呼吸困难,低饱和度血症,严重者有明显的三凹征,该患者入院后心律快,但饱和度尚可维持,气促无明显加剧,故暂不考虑张力性气胸。但不管是否有合并张力性气胸,对于气胸的处理方法,首先都是行胸腔闭式引流术,及时排出胸腔气体,亦可同时观察胸腔是否出血,如合并进行性血胸,需进一步手术治疗。同时,胸腔闭式引流术可以缓解病人症状,为下一步诊疗争取时间。
胸痛是临床常见的临床症状,也是对临床医生来讲很棘手的症状.一般胸痛的患者,先根据年龄划分,如是老年人,常见冠心病、心绞痛、胸部恶性肿瘤等,如是年轻人,常见自发性气胸、胸膜炎、肋软骨炎等。但不管对于年轻人还是老年人,临床医生碰到胸痛患者,一张常规胸片是很基础的检查。该患者当地医院行胸片检查发现气胸,故自发性气胸诊断明确。
患者自发性气胸,合并明显的肺大泡,如不手术治疗以后会气胸复发,故予手术处理。同时现腔镜技术有创伤小、恢复快的特点,且手术安全性高,是患者的理想选择。
总结:
结合本病的诊疗,是一个很典型的肺大泡所致的自发性气胸的诊疗。患者的初始症状是因为肺大泡引起的气胸,表现为胸痛/气促,患者年轻,气促不明显,可有胸闷症状。此后及时就医,拍片发现气胸和肺大泡,在胸腔镜手术下顺利恢复,并健康出院。
现在的胸腔镜技术大大减少了肺大泡手术的创伤,并且可以让病人达到快速康复,由此可见,一旦有症状一定要及时就医,这样才可以得到及时完整的诊疗,随着腔镜技术的发展,病人的手术所承受的痛苦会越来越小。
自发性气胸是一种常见于青年人的危险疾病,多是由于肺部先天有肺大泡,大泡破裂后即产生自发性气胸,这种病多见于瘦高型的青壮年,也可见于慢性结核病患者及尘肺、慢性阻塞性肺病的老年人。多为突发胸痛后气促,轻者呼吸困难/胸闷,重者反常呼吸甚至死亡。以下结合笔者的一例诊疗病例详细讲解。
患者男,16岁,以“左侧胸痛、气促1天”为主诉入院。患者于入院前1天睡醒后突然出现左侧胸痛,程度较轻,尚可忍受,咳嗽时加重,右侧卧位时可减轻,无向他处放射,伴轻微胸闷,无畏寒、发热,无咳嗽、咳痰、咯血、明显气促,无心悸、心前区疼痛,无嗳气、反酸,无呕血、腹泻、血便,无四肢冰冷、头晕等其它不适,遂就诊当地医院,行胸部正位片检查示“左侧气胸”,未予治疗。1天来,患者感活动后稍胸闷,有时感胸痛,无发热、咳嗽、咳痰等不适,为进一步诊治,就诊我院,今门诊拟“左侧气胸”收住入院。自发病以来,精神、睡眠较好,食纳如常,大小便如常。既往身体健康。
入院查体:T:37℃ P:127次/分 R:20次/分 BP:140/88mmHg,神志清楚,步行入院,查体合作。皮肤粘膜无苍白、黄染,浅表淋巴结未触及肿大。双侧瞳孔等大同圆,对光反射灵敏,口唇无发绀。颈软,颈外静脉无努张,甲状腺未及肿大。胸部见专科情况。腹部平坦,腹肌软,无压痛、反跳痛,未及明显包块,肝脾肋下未触及,移动性浊音阴性,肠鸣音4次/分,未闻及气过水音及血管杂音。神经系统、脊柱四肢检查未明显异常体征。专科情况:气管居中,胸廓无畸形,肋间隙无增宽,左侧呼吸运动减弱,无皮下捻发感,左肺触诊语颤减弱,无胸膜摩擦感,左肺叩诊呈鼓音,右肺叩诊呈清音,左肺呼吸音明显减弱,右肺呼吸音清,双肺未闻及干、湿性啰音,未闻及胸膜摩擦音。心前区无隆起及异常搏动,心尖搏动点位于第5肋间左锁骨中线内0.5cm,无震颤及抬举感,心相对浊音界无扩大,心律127次/分,律齐,心音有力,各瓣膜听诊区未闻及病理性杂音。
入院后在局麻下施行左侧胸腔闭式引流(留置猪尾巴导管)术。患者取仰卧位,定位左锁骨中线第2肋间为穿刺点,常规消毒、铺巾,以1%利多卡因作局部浸润麻醉,左手拇指固定穿刺处皮肤,右手持穿刺针(内吸2cm生理盐水),沿穿刺点缓慢进针,保持注射器一定负压,针尖稍指向后侧方,沿肋骨上缘上方缓缓刺入,至抽到液体后停止进针,进针深度约5cm,由注射器末端送入钢丝导芯约15cm,慢慢退出穿刺针,扩皮,放入猪尾巴导管,深度10cm,退出钢丝导芯(未完全退出前即暂夹闭导管以免气体进入),接注射器,开放导管,抽气体后接水封瓶, 固定导管,3M胶布覆盖。过程顺利,患者无不适。咳嗽水封瓶见气泡溢出。
下一步行胸部CT检查:


结合胸部CT所示,可见明显的肺大泡(肺尖处)和气胸。遂在全麻下行胸腔镜下左上肺大泡切除术+胸膜粘连松解术+胸腔闭式引流术:患者麻醉成功后,取右侧90°卧位,常规消毒铺巾,于左腋前线第4肋间作一约5厘米的小切口,钝性分开胸壁肌层及壁层胸膜,经小切口置入套管,胸腔镜进入左胸腔,探查见:左上肺叶肺尖部一个肺大泡,约3.0cm×2.0cm,大泡与壁层胸膜粘连,余肺部未见肺大泡。术中诊断:左上叶肺大泡。在胸腔镜观察下,以电钩分离胸腔粘连;分别导入腔镜用肺钳及60#endo-GIA,提起左肺上肺大泡,以一把60#endo-GIA在肺大庖基底部边缘钳夹后,切除肺大庖,取出标本,检查切缘为肺组织。检查左胸腔见无异常渗血及气泡溢出,于左腋前线第4肋间放置胸闭式引流管各一条且固定于皮肤。清点纱布器械无误,逐层缝合左胸切口各层。术程顺利,术中出血少许,未输血。
手术顺利,术后复查胸片:
患者肺部复张良好,术后第3天顺利拔管出院。
诊疗思路:
对于自发性气胸患者,首先判断是开放还是闭合性气胸,该患者无明显外伤史,故是闭合性气胸。其次判断是否有张力性气胸,张力性气胸多有急促的呼吸困难,低饱和度血症,严重者有明显的三凹征,该患者入院后心律快,但饱和度尚可维持,气促无明显加剧,故暂不考虑张力性气胸。但不管是否有合并张力性气胸,对于气胸的处理方法,首先都是行胸腔闭式引流术,及时排出胸腔气体,亦可同时观察胸腔是否出血,如合并进行性血胸,需进一步手术治疗。同时,胸腔闭式引流术可以缓解病人症状,为下一步诊疗争取时间。
胸痛是临床常见的临床症状,也是对临床医生来讲很棘手的症状.一般胸痛的患者,先根据年龄划分,如是老年人,常见冠心病、心绞痛、胸部恶性肿瘤等,如是年轻人,常见自发性气胸、胸膜炎、肋软骨炎等。但不管对于年轻人还是老年人,临床医生碰到胸痛患者,一张常规胸片是很基础的检查。该患者当地医院行胸片检查发现气胸,故自发性气胸诊断明确。
患者自发性气胸,合并明显的肺大泡,如不手术治疗以后会气胸复发,故予手术处理。同时现腔镜技术有创伤小、恢复快的特点,且手术安全性高,是患者的理想选择。
总结:
结合本病的诊疗,是一个很典型的肺大泡所致的自发性气胸的诊疗。患者的初始症状是因为肺大泡引起的气胸,表现为胸痛/气促,患者年轻,气促不明显,可有胸闷症状。此后及时就医,拍片发现气胸和肺大泡,在胸腔镜手术下顺利恢复,并健康出院。
现在的胸腔镜技术大大减少了肺大泡手术的创伤,并且可以让病人达到快速康复,由此可见,一旦有症状一定要及时就医,这样才可以得到及时完整的诊疗,随着腔镜技术的发展,病人的手术所承受的痛苦会越来越小。
版权声明:
本站所注明来源为"爱爱医"的文章,版权归作者与本站共同所有,非经授权不得转载。
本站所有转载文章系出于传递更多信息之目的,且明确注明来源和作者,如果您认为我们的转载侵犯了您的权益,请及时通过电话(400-626-9910)或邮箱(linyongxing@120.net)通知我们,我们将第一时间处理,感谢。
本站所注明来源为"爱爱医"的文章,版权归作者与本站共同所有,非经授权不得转载。
本站所有转载文章系出于传递更多信息之目的,且明确注明来源和作者,如果您认为我们的转载侵犯了您的权益,请及时通过电话(400-626-9910)或邮箱(linyongxing@120.net)通知我们,我们将第一时间处理,感谢。




发表评论: