前言
韦尼克脑病(Wernicke encephalopathy,WE)是一种因硫胺素(维生素B1)缺乏而引起的中枢神经系统代谢性疾病。根据其诱发因素的不同可分为酒精性和非酒精性,其中非酒精性临床较为少见。欧洲神经病学会联盟2010年制定了WE诊断标准:①营养障碍史;②眼部体征;③小脑功能障碍;④意识障碍,以上4项中符合2项即可,后3项称为WE三联征,但有研究表明同时出现的几率不到16%[1]。因该病起病隐匿,症状无特异性,加之部分临床医师对本病的认识不足,故易误诊漏诊,若得不到及时治疗常常会导致不可逆的脑损害。近年来,外科减重手术,尤其以袖状胃切除术后并发WE的报道逐渐增多[2],我院近期中西医结合诊治外科减重术后并发韦尼克脑病1例,患者因袖状胃切除术后出现眼球震颤、共济失调以及精神萎靡等神经系统功能异常,经诊断考虑韦尼克脑病,立即给予足量、足疗程的维生素B1治疗,患者眼球震颤及共济失调明显改善。现报告如下。
病例描述
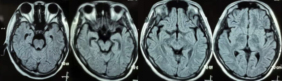
患者蔡某某,男,18岁,学生。因“头晕伴走路不稳2月”于2021年01月18日收住我科。患者2020年8月10日因过度肥胖(身高168cm,体重98Kg,BMI 34.7Kg/㎡),在医院检查诊断为代谢综合征、阻塞性睡眠呼吸暂停综合征,于外院行腹腔镜袖状胃切除术,出院后患者食欲减退,体重降低,伴有腹胀及间断恶心呕吐(无咖啡样物质)症状,未行特殊处理。10月中下旬患者恶心呕吐症状加重,并伴有头晕、乏力,于外院普外科住院,给予静脉营养、护胃止吐等治疗,每天输注葡萄糖约75克,经治疗4天后,患者头晕症状加重,逐渐出现行走不稳,并伴有急躁易怒、精神萎靡等一系列精神症状。2020年11月03日查头颅MRI+DWI示:双侧丘脑、中脑导水管周围异常信号(见图1)。汉密尔顿焦虑抑郁量表示:中度抑郁,明显焦虑。考虑诊断为WE,转入神经内科:予以维生素B1肌肉注射、补液、护胃等治疗,乏力症状稍有改善,但出现眼球震颤,查眼震电图示:自发性眼震阳性,上跳眼震约19.8°/S,固视抑制失败,考虑中枢性病变。患者仍精神萎靡、肢体倦怠,行走不稳,患者及家属欲寻求进一步治疗,遂来我院就诊。患者既往无特殊病史,无饮酒史。
症状:头晕目眩,肢体乏力,站立困难,独立行走困难,需搀扶,动作迟缓,二便正常,夜寐尚安。查体:神志清楚,精神差,反应稍迟钝,记忆力、计算力正常。双眼可诱发水平眼震,其余颅神经检查阴性,四肢肌张力正常,肌力5-级。深浅感觉检查无异常。双侧指鼻试验、跟膝胫试验欠稳准,闭目难立征(+)。
辅助检查:2021年01月18日我院查颅脑MRI+DWI示:未见明显异常,建议随诊复查(见图2)。查眼震电图示:凝视时诱发上跳眼震,峰值在23°~46°之间(见图3)。
西医诊断为:非酒精性韦尼克脑病。
治疗:西医在院期间予以维生素B1注射液0.2g/次,肌肉注射,3次/天,硫酸镁注射液2.5g加入250ml生理盐水中,静脉滴注,1次/天,同时配合使用维生素B1口服、改善循环、营养神经等对症治疗,并谨慎使用葡萄糖液体,一共13天。
患者分别于出院第二、四、六周来我院门诊就诊。其头晕乏力首先改善,无明显视物旋转,眼震逐渐减弱(但后期缓慢遗留轻微下跳眼震);后期行走不稳表现也逐步好转,第三月来我院门诊复诊时,行走如常人。
3月后随诊,患者精神佳,眼震消失,行走如常人,食纳尚可,寐可,二便调。
图2 头颅MRI(2021年01月18日 )

图2 头颅MRI(2021年01月18日 )
图3 眼震电图(2021年01月17日)
图3 眼震电图(2021年01月17日)
讨论
韦尼克脑病为维生素B1缺乏引起的以中枢神经系统受损为主的代谢性疾病。维生素B1主要在细胞内参与三羧酸循环和磷酸戊糖的代谢,成人平均每日需要量约为1-2毫克,但因人体自身不能合成维生素B1且体内储存量仅为30-50毫克,需要从食物中获取,一旦出现营养障碍体内储存量仅够维持1月左右。若维生素B1缺乏会造成组织细胞内产生大量乳酸、丙酮酸,进而导致细胞酸中毒及细胞毒性水肿,干扰神经递质的合成、释放和摄取,故会导致神经系统功能障碍。
本病例特点:
①因肥胖行外科减重手术,术后患者长期恶心呕吐,且纳食欠佳,符合营养障碍史;
②术后一月余出现头晕、行走不稳等共济失调表现;
③治疗初期给予大剂量葡萄糖静滴、未及时补充维生素B1,上述症状加重,且出现眼球震颤、精神萎靡、焦虑抑郁等症状;
④磁共振示: 双侧丘脑、中脑导水管周围异常信号,符合WE影像学表现。
此例患者术后长期恶心呕吐,进食少,维生素B1耗竭与头晕、共济失调等症状出现的时间相吻合,且由于患者初期仅表现为恶心呕吐、头晕、走路不稳,很容易被临床医师忽视,考虑为进食减少造成的营养不良,故予以大剂量输注葡萄糖液体等静脉营养,但葡萄糖代谢会加速维生素B1在体内的耗竭,使得病情进一步恶化,故患者后出现眼球震颤、精神症状。WE诊断主要依靠临床症状,但有明显三联征的患者仅占少数,头颅磁共振可以给医生很大的诊断信息参考,因维生素B1缺乏,WE患者脑部损伤常见部位多为糖代谢和氧化代谢率高的部位,包括丘脑、乳头体、中脑导水管周围、第三脑室、第四脑室及延髓等[3]。
该病例病变部位为丘脑、中脑导水管,与研究报道相符。一经确诊后,立即给予了足量、足疗程的维生素B1治疗,同时因镁是维生素B1生化过程中的辅助因子,镁离子会影响维生素B1的生理功能,故加用硫酸镁静滴[12],配合成分合理的静脉营养支持,嘱患者少量多餐进食。
综上,本例患者在我院一经确诊为韦尼克脑病,第一时间以大剂量的维生素B1肌注、静脉滴入硫酸镁治疗,快速补充体内维生素B1及镁离子含量,弥补了因袖状胃手术导致无法口服快速补充维生素B1及钙镁电解质摄入障碍的缺陷,同时因控制葡萄糖的摄入,以免过度消耗维生素B1。
总结
随诊肥胖病人的增多,外科减重手术日益增多,患者术后若出现呕吐、共济失调等症状时,临床医师应考虑到出现韦尼克脑病的可能,需立即完善头颅MR以及血清维生素、血清丙酮酸等相关检查,并及时补充维生素B1。希望通过对本病例的报道,进一步提高临床医生及时甄别韦尼克脑病的能力,为疾病的治疗赢得宝贵时间,减少误诊误治。
参考文献
[1] R.G,G.B,A.I,et al.EFNS guidelines for diagnosis,therapy and prevention of Wernicke encephalopathy[J].European Journal of Neurology, 2010,17(12):1408-1418.
[2] Zheng L.Wernicke encephalopathy and sleeve gastrectomy: a case report and literature review[J].Am J Ther,2016,23(6):e1958-e1961.
[3]张丽燕, 田泽龙, 王淑辉, 等. Wernicke脑病18例的临床特征及影像学分析[J]. 临床和实验医学杂志, 2019,18(02):205-209.
本站所注明来源为"爱爱医"的文章,版权归作者与本站共同所有,非经授权不得转载。
本站所有转载文章系出于传递更多信息之目的,且明确注明来源和作者,如果您认为我们的转载侵犯了您的权益,请及时通过电话(400-626-9910)或邮箱(linyongxing@120.net)通知我们,我们将第一时间处理,感谢。




发表评论: