
近些年人工髋关节置换术得到了飞速的发展,主要目的是改善功能和活动,减轻疼痛。其最常见的手术适应症包括股骨头缺血坏死、终末期髋关节疾病、发育性或创伤后关节畸形。
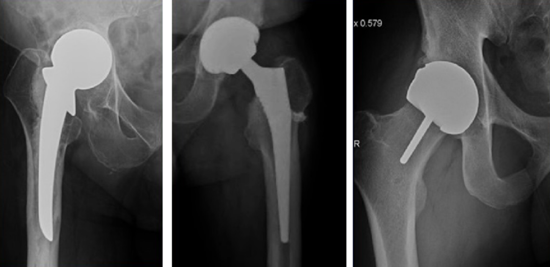
一般包括全髋关节置换术及半髋关节置换术:


从左至右分别为半髋关节置换、全髋关节置换、髋关节表面置换
假体的固定方式主要有两种:骨水泥固定和非骨水泥固定:

从左至右分别为髋臼杯用骨水泥固定、股骨干用骨水泥固定、带颈领非骨水泥固定
X 线具有良好的空间分辨率,可显示假体的对位对线关系,对评估假体松动、移位、假体周围骨折、异位骨化等并发症具有重要意义。



②髋臼外展角:
臼杯面与水平的夹角骨盆正位测量:臼杯边缘连线与坐骨结节连线的夹角。正常角度为 30°~50°。角度较小时,髋关节稳定,但外展受限;角度大时,髋关节脱位的风险大。
③髋臼前倾角:
臼杯轴与冠状面的夹角。髋关节侧位片:臼杯边缘连线与水平面垂直线的夹角。正常角度为 5°~20°。髋臼后倾容易发生髋脱位。

④股骨假体的位置:
正位 X 线片上测量假体柄长轴与股骨长轴间角度来确定,夹角≤3°为中心固定,超出为内翻或外翻固定。股骨假体内翻容易造成假体松动。

⑤股骨柄定位:
股骨柄(红线)与股骨颈纵轴(绿线)的位置比较。正常 5°~10°。

⑥股骨假体(柄)/骨水泥髓腔匹配情况:
需评估每个区的假体-骨界面(非骨水泥型),骨-骨水泥和假体-骨水泥界面(骨水泥型)。

骨水泥:髋臼侧骨水泥一般3-4mm厚度;股骨侧骨水泥一般近端4-7mm,远端1-3mm。




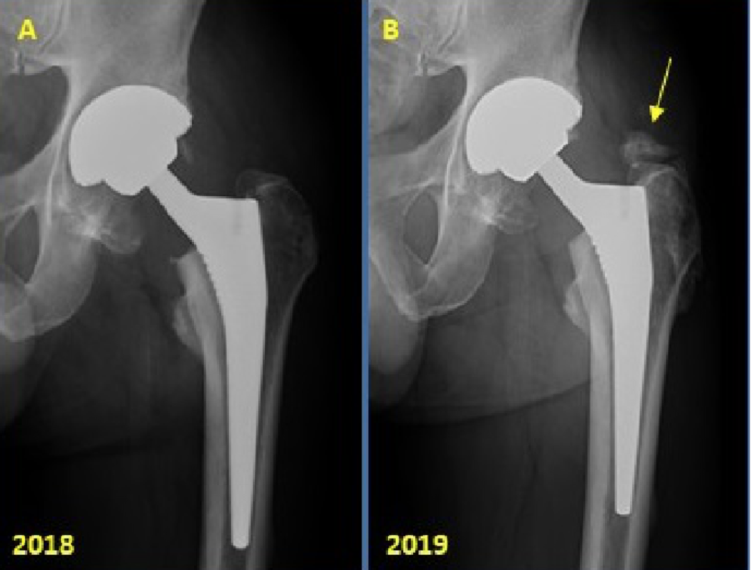
2. 假体无菌性松动:
股骨假体松动发生率为 6%~18%,髋臼假体为 6%~28%。松动是最常见的翻修原因。
影像学特征:
①骨-骨水泥界面/金属-骨水泥界面放射性透亮线大于 2mm;放射性透亮线进行性增宽或不规则;
②股骨假体下沉/移位,髋臼假体移位/内陷;
③假体柄断裂;骨水泥断裂;
④假体表面喷涂材料脱落。






3. 感染:
发病率 2%~3%。



4.骨溶解:
发生率 5%~9%,与透亮线不同,地图样透亮区是由假体相关的骨水泥、金属或聚乙烯颗粒诱导的组织炎症反应所致(颗粒病)。

右侧髋臼及耻骨支骨质溶解吸收,关节周围团块状软组织肿块,围绕股骨头及股骨颈
5. Metal-on-metal(MOM)disease:
假性滑囊,是金属对金属髋关节置换的组织反应;表现为髋关节假体周围的滑囊。最常见的部位是:髋臼上缘、大粗隆和小粗隆。


人工髋关节置换术。假体周围囊性肿块(箭头)
6. 假体周围骨折:
发病率 1%~2%。可发生在书中或术后。迟发性骨折多发生于股骨假体尖端。非骨水泥假体植入和翻修术更容易发生术中骨折。



Ag 型(累及大粗隆)

Al 型(累及小粗隆)

B1 型假体柄固定牢固

B3 型假体柄松动且伴骨质疏松

C 型骨折位于股骨假体尖端远处,假体稳定。
7. 假体失败:
可发生于髋臼或股骨假体。


右侧全髋关节置换术后:聚乙烯磨损,股骨头在髋臼杯内位置不对称(箭头)
8. 异位骨化:
男性,65 岁以上,脊柱关节病或 DISH 患者异位骨化发生率较高。


Grade I

Grade IV


参考文献:
https://epos.myesr.org
https://radiopaedia.org
https://radiologyassistant.nl/musculoskeletal/hip-arthroplasty
Marshall RA, Weaver MJ, Sodickson A, Khurana B.Periprosthetic Femoral Fractures in the Emergency Department: What theOrthopedic Surgeon Wants to Know. Radiographics 2017; Jul-Aug; 37(4):1202-1217.
Jan Vanrusselt, Milan Vansevenant, GeertVanderschueren, Filip Vanhoenacker Postoperative radiograph of the hiparthroplasty: what the radiologist should know Insights Imaging (2015)6:591–600
Trenton D. Roth, Nathan A. Maertz, J.Andrew Parr, Kenneth A. Buckwalter, Robert H. Choplin. CT of the HipProsthesis: Appearance of Components, Fixation, and Complications RadioGraphics2012; 32:1089–1107
Connie Y. Chang, MD,et al.Radiographic Evaluation of Hip Implants.Semin Musculoskelet Radiol2015;19:12–20.
李培岭,张翔亚,刘玉珂,等.关节置换术后并发症的影像学表现及评价[J].中国临床医学影像杂志2018,29(1):55-57
张聿达,王昌耀,王向宇.微创全髋关节置换后的影像学评估[J].中国组织工程研究2020,24(33):5379-5384
WANGT, SHAO L, XU W, et al. Surgical injury and repair of hip external rotators inTHA via posterior approach: a three-dimensional MRI-evident quantitativeprospective study.BMC Musculoskelet Disord. 2019; 20(1):22.
参考书籍:Imagingof Orthopaedic Fixation Devices and Prostheses by Thomas H. Berquist




发表评论: