
引起腰痛的原因可以简要分为:
椎间盘源性腰痛指的是椎间盘病变(如退变、纤维环破裂)引起的非神经根性疼痛症状,但可伴有腹股沟区及大腿前侧牵涉痛。
椎间盘源性腰痛又可分为两种类型,由纤维环破裂引起的腰痛和由终板破裂引起的腰痛,即终板源性腰痛。
其他类似的但需要排除的包括椎间盘退变引起的神经受压,关节突关节源性的腰痛及继发于腰椎间盘退变的脊柱畸形(如滑脱、退行性侧弯)。

腰椎间盘退变即腰椎间盘解剖结构的异常形态学改变,这些改变包括:
脱水、纤维化、真空现象及髓核组织局部裂缝形成;
龟裂、黏膜退变及纤维环钙化;
终板缺失及硬化;
小关节关节骨赘形成。

1.主要症状为下腰痛,可放射到骶髂关节和臀部,常见的体格检查结果包括腰椎触痛、活动受限。腰椎屈曲时疼痛加重,后伸时减轻,无关节突关节退变。
2.影像学表现包括椎间隙高度下降、腰椎生理前凸减少、真空现象、骨赘形成、终板硬化。但同样的表现也可见于无症状的正常退变人群。
3.MRI 表现包括椎间盘含水量下降、纤维环龟裂、高信号区(HIZ)形成、椎间隙高度下降及终板形态改变。
高信号区域:指那些在 T2 加权像 MRI 上椎间盘纤维环后方高信号的部分。

4.腰椎间盘造影是一种有创性的检查椎间盘源性腰痛患者的方法,诊断依据包括目标椎间盘注射时发生疼痛,而相邻椎间盘注射无疼痛或疼痛轻微。其他的标准包括低压力或低容量注射时疼痛重现,同时伴有椎间盘形态异常改变。


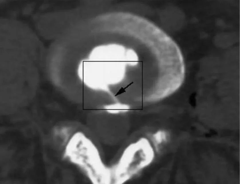
椎间盘造影后CT平扫所显示破裂的纤维环,且造影剂流经至 HIZ 高信号区,提示椎间盘源性腰痛的诊断。
对于腰痛反复发作或伴有腹股沟区或双大腿前侧牵涉痛,无明显下肢神经根疼痛,持续时间久于 3 个月,MRI 表现为典型的单节段信号降低、纤维环后部出现高信号区(HIZ),应考虑为椎间盘源性腰痛。

I 型:提示椎体终板急性破裂和龟裂形成,这会导致新生血管的纤维组织长入邻近椎体骨髓。这些组织在 T1 加权像 MRI 上表现为低信号,T2 表现为高信号。
Ⅱ 型:改变反映了慢性退变,它是由于椎间隙邻近椎体造血红骨髓发生脂肪变性造成的。表现为 T1 加权像 MRI 上高信号,T2 加权像 MRI 上信号稍高。
Ⅲ 型:X 线片上表现为终板下骨硬化。T1 和 T2 加权像 MRI 上均表现低信号。
椎间盘退变患者中终板信号改变的临床意义尚不十分明确。正如椎间盘退变征象也可是随年龄增长而老化的一种正常表现,终板变化的 MRI 表现很多情况下与腰痛无关。

药物治疗:非甾体类抗炎药物对短期缓解症状非常有效,肌肉松弛药及抗惊厥类药物可作为二线用药。三环类抗抑郁药物可作为辅助用药。
物理治疗:锻炼核心肌肉、牵拉练习及耐力训练。
硬膜外封闭:能短期缓解症状。


A后路椎间融合手术,采用椎体间异体皮质骨移植联合后路内固定和融合手术 B 前路椎体间融合,采用异体股骨移植结合后路内固定融合手术 C 人工椎间盘置换术
编辑|Seaweed
题图 | 站酷海洛
配图 | 作者提供






发表评论: