
病程记录
患者,男,23 岁,因「摔伤致右髋部肿痛、活动受限 6 小时」入院。
查体:右下肢无明显短缩,明显外旋畸形,右髋部轻度肿胀,未见明显皮下瘀斑、无皮肤擦伤等。右侧腹股沟中点固定压痛,右侧股骨大粗隆叩击痛及右下肢纵向叩击痛(+),右髋关节主被动活动均明显受限;右足踝等关节活动正常,右下肢末梢血运正常,各足趾的感觉、活动等均正常。
辅助检查:CT 检查提示右侧股骨颈骨皮质不连续,可见透亮骨折线及碎骨片影,断端错位、成角,周围软组织肿胀;右侧髋臼后下缘及左侧耻骨上支骨皮质不连续,断端未见明显错位;右侧髋臼后缘见类圆形稍低密度影,大小约 5*9 mm,边界清楚,边缘见硬化边;右侧髋关节在位,关节间隙未见明显变窄。
初步诊断:右股骨颈骨折(经颈型)







手术过程
1. 对于难复性股骨颈骨折,术前应做好切开复位的准备,该患者复位三次都不太满意。

2. 倒数第二次的复位仍是欠缺一点

3. 再努力一把就基本成了

4. 先体外放置一枚导针导引进针方向

5. 打入第一枚倒品字下方导针,跟体外导针基本重叠

6. 然后依次打入倒品字上方的两枚导针


7. 摆 4 字位检查侧位导针的位置是否恰当

8. 最后测深依次拧入合适长度的螺钉


手法复位技巧
复位的关键是术前详细读片,逆受伤过程复位。这个病人主要是内旋髋关节,大体复位后就是局部微调,这个需要耐心。
闭合复位建议穿铅衣操作,但是谁也不能保证能解剖复位,如果复位不满意,必须切开,这一点不能将就。
笔者的部分股骨颈骨折病例在牵引床被占用的情况下,会选择在普通手术床完成手术,所以必须打上三枚克氏针后再摆 4 字位透视侧位。
摆体位时,笔者首先会垫枕消除前倾角。然后放体外克氏针判断大致的进针方向(这个步骤是在消毒完毕,骨折复位后再做。如果没复位,笔者选择直接切开)。
打入第一枚导针时应非常小心,一定是要和体外的导针保持方向一致。还有一个小细节是,进针前笔者一定会体外先摸股骨大粗隆的外侧,判断前后位置,进第一枚导针到达股骨外侧后,用针尖在股骨外侧面前后滑动,再次判断进针点是否居中。
第一枚导针一定要打好,进针一半时透视看看方向,如果不好,及时调整。笔者做股骨颈骨折有个体会,尽量一次性进针成功,反复穿针很容易导针滑入原道,既影响复位维持,也会使再次穿针愈加困难。
第一枚导针打好以后,根据该导针距离股骨颈下方的距离(如下图),确定上方两枚导针的距离,距离过近,会导致螺钉打架或者汇聚,过远则打不到股骨颈内。

打第 2、3 枚导针有个小技巧,首先用导向器套住第一枚导针判断合适的距离,以及上方两枚导针之间的距离,此时顺着导向器插入第 2 枚导针。
这里需要注意的是,不是沿着导向器直接打进去(这样往往打入的导针无法与第一枚导针平行,不好看),笔者会稍打进去一点能把针固定住就好,然后把导向器退出来,看体外针尾平行方向往里打。这样确实打出来的导针都比较平行。最后把第三枚导针按第二枚的步骤打进去就可以了。


笔者介绍的方法可作为无牵引床情况下治疗股骨颈骨折的手术方案的一种补充方案,但笔者仍推荐首选牵引床来完成手术。
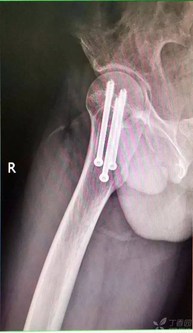
术后复查



术后十个月复查,骨折愈合,正常行走。



对这一例股骨颈骨折的手术方法你怎么看?
欢迎留言告诉我们~
排版|Seaweed
题图 | 站酷海洛






发表评论: