当前位置:首页
> .html
导读:
股骨干骨折是临床常见骨折之一,闭合复位髓内针固定治疗已成为首选。那么复位标准是怎样的?骨折块分离多少可以接受?钢丝可不可以用?不扩髓可以吗?相信看完下面这个课件你会有所收获~补充...


股骨干骨折是临床常见骨折之一,闭合复位髓内针固定治疗已成为首选。那么复位标准是怎样的?骨折块分离多少可以接受?钢丝可不可以用?不扩髓可以吗?相信看完下面这个课件你会有所收获~






















补充介绍
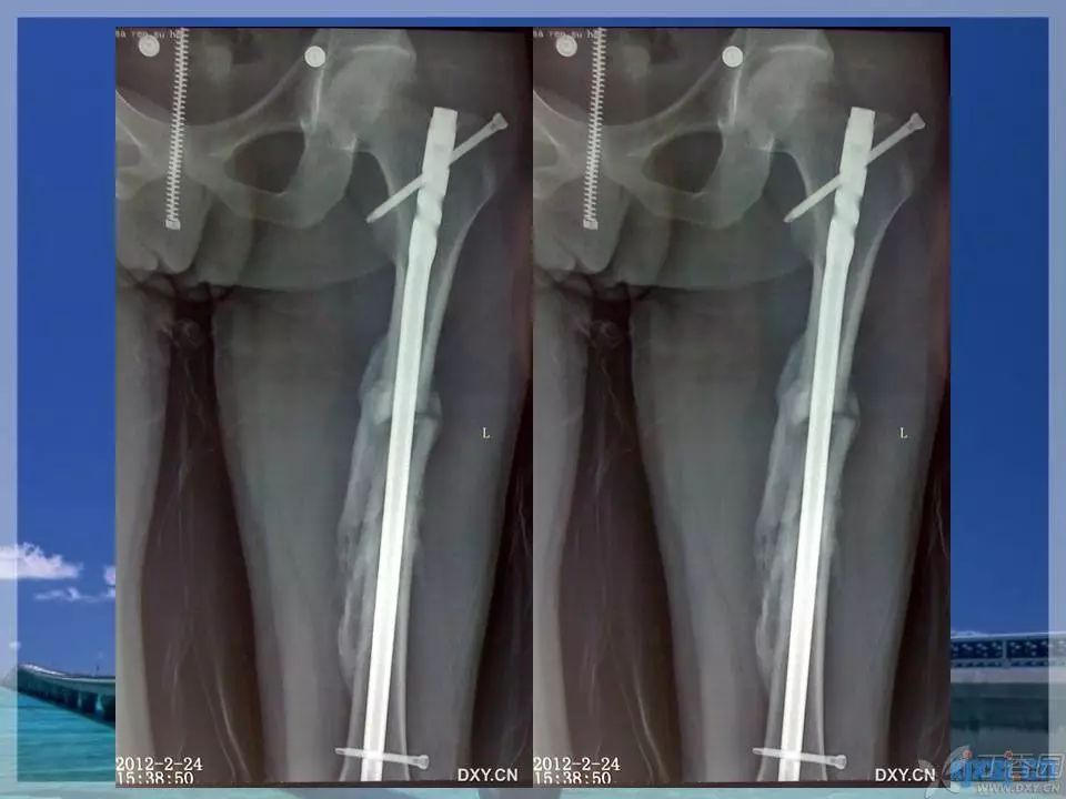
1. ppt 中提到蝶形骨块移位大于 1cm 会影响股骨干骨折的愈合,这是一个台湾学者的观点,图中可以看见股骨内侧和后侧已经有骨痂生长,所以说 1cm 这个数据有待商榷。大于 1cm 的移位骨折愈合也不是什么问题。
2. 术前交待很重要,术前要交待患者及家属:如果把骨折对得严丝合缝,容易破坏骨折端的血运,而且手术时间长,出血多;而闭合复位虽然不能解剖复位,但是不破坏骨折块的血运,骨折更容易愈合。
3. 髓内钉和钢丝不会从内外方向破坏骨的血供。
4. 股骨干骨折使用髓内钉技术已经成为大家的共识,全世界每天有成千上万的股骨干骨折接受这样的手术,这是大家经历无数次临床实践总结下来的,不是吹牛吹出来的。不是全盘否认钢板的作用,而是使用髓内钉的并发症更少,允许更早功能锻炼。(摘自版主 @yourlie)
5. 只有稳定 / 萎缩型才是实施动力化的适应症,而不稳定 / 萎缩型实施动力化后,并发症的发生率最高,应避免应用。对于肥大型,无论是否稳定,也不建议实施动力化,这是因为肥大型本身即是由于骨折端不稳所致,实施动力化后,无疑会使得这种不稳变得更加严重。






发表评论: