
中间楔骨与第 2 跖骨基底的复位固定是 Lisfranc 损伤切开复位内固定手术的关键一环。
这一损伤的传统固定方式是将 1 枚螺钉(以下简称为 Lisfranc 螺钉)经内侧楔骨向第 2 跖骨基底置入(图 1)。

图 1. 传统的 Lisfranc 螺钉置入方法
然而这种固定方式存在一大缺陷,那就是,一旦出现螺钉的断裂,将导致螺钉头端取出困难(图 2)。

图 2. 传统 Lisfranc 螺钉置入后,螺钉断裂,位于第 2 跖骨基底的螺钉尖端难以取出
美国德克萨斯大学医学部骨科 Panchbhavi 教授等介绍了他们将 Lisfranc 螺钉经第 2 跖骨向内侧楔骨置入的固定技巧。
根据其临床病例观察结果,作者认为,这种固定方法简单,疗效满意,且一旦发生螺钉断裂也容易取出。该技术的基本要点如下。
在多平面 X 线透视下,采用经皮技术或开放式手术解剖复位脱位的 Lisfranc 关节,如采用切开复位固定技术,应直视下清理损伤部位的粉碎骨块、软骨以及关节囊韧带、肌腱等软组织,以便实现 Lisfranc 损伤的解剖复位。
手术显露过程中注意保护第 1、2 跖骨基底之间的足背动脉、腓深神经等神经血管组织。腓浅神经的足背内侧皮支经踝关节前方,向远端分为两条足趾背侧分支,一条分布于第 1 足趾内侧,另一条分布于第 2、3 足趾的相邻面。除了上述神经分支,第 1、2 足趾的长、端伸肌腱也位于切口附近,因此,切开皮肤后应注意避免损伤这些解剖结构,以便进一步分离、显露第 2 跖骨基底。
手术中可通过 X 线透视定位,在第 2 跖骨基底偏远端外侧经皮做一长约 1 cm 的切口,以暴露第 2 跖骨基底部。皮肤切口的位置应位于 Lisfranc 螺钉偏远端一些,以便在无皮肤和软组织张力的情况下,自远端向近端方向置入螺钉。
当采用切开复位内固定技术时,可经切口在第 2 跖骨基底的外侧面向内侧楔骨置入螺钉。如需置入科氏针、钢板等内固定物或更好的显露第 2 跖骨基底,可另作经皮切口以避免损伤手术部位的解剖结构。
应用一把大号持骨钳把持固定于第 2 跖骨基底外侧面(经原手术切口或在该部位做一小切口,然后钝性分离、显露第 2 跖骨外侧面骨质)和内侧楔骨内侧面(在该部位做一小切口,然后钝性分离、显露内侧楔骨内侧面骨质)之间,以维持复位(图 3)。

图 3. 术中 X 线透视下,在中足经 Lisfranc 关节置入持骨钳,以维持固定损伤复位
完成术区暴露和维持复位后,在 X 线透视下,自足底方向经第 2 跖骨基底背外侧向内侧楔骨置入导针,采用空心钻经导针钻孔,然后将一枚 4.0-5.0 mm 直径适当长度的半螺纹空心螺钉经导针置入(图 4)。

图 4. 术中 X 线透视下,经第 2 跖骨基底背外侧向内侧楔骨置入 Lisfranc 螺钉
最后,处理第 1 跖楔关节不稳等其他损伤情况。对于其他损伤可采用关节外固定技术进行处理(图 5),相关技术细节,可参考其他相关文献,在此不再赘述。

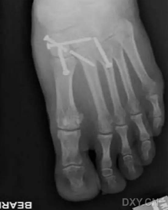
图 5. 术前 X 线片和透视观察显示,第 2 跖骨基底骨折伴第 1 跖楔关节不稳(A、B)
采用本文介绍的 Lisfranc 螺钉固定技术和关节外内固定技术进行损伤进行固定治疗。术后 3 年随访表明,原损伤部位复位、固定位置良佳,几乎无明显皮肤瘢痕(D),足趾稳定性良好 (E)。






发表评论: