



对于桡骨远端骨折的内固定,有多种解剖型的锁定钢板系统应用于临床。这些内固定物为为一些复杂的骨折类型提供了较好的解决方案,从某种程度上扩大了不稳定性桡骨远端骨折的手术适应证,尤其对于一些伴有骨质疏松的骨折。
本文主要介绍基于特殊骨折块的内固定技术固定桡骨远端骨折的手术方法。
掌侧钢板固定的适应证
1. 移位的掌侧关节内骨折(Barton 骨折)
2. 移位的关节外骨折(Colles 骨折和 Smith 骨折)。即使存在骨质疏松,应用螺钉钢板也能获得稳定的固定。
3. 移位的掌侧月骨关节面骨折
掌侧钢板固定的禁忌证
1. 严重的骨质疏松且功能明显受限
2. 桡腕关节背侧骨折脱位
3. 存在多种内科合并症
解剖基础
以尺桡骨远端的生物力学和解剖学特征为基础提出的三柱理论,是 2.4 mm 钢板系统研发和临床应用的基础。

图 1. 尺桡骨远端的三柱理论
桡侧柱为桡骨远端外侧半,包括舟骨窝和桡骨茎突,对于桡侧的腕骨具有支撑作用,一些稳定腕关节的韧带也起自于此。
中柱为桡骨远端的内侧半,包括关节面的月状窝(与月骨相关节)和乙状切迹(与尺骨远端相关节)。通常情况下负荷,来自月骨的负荷经由月骨窝传递到桡骨。
尺侧柱包括尺骨远端、三角纤维软骨和下尺桡关节,承载来自尺侧腕骨以及下尺桡关节的负荷,具有稳定作用。
手术在臂丛麻醉下进行,术中 C 臂 X 线成像必不可少。手术开始之前至少 30 min 给予静脉滴注抗生素,使用气压止血带减少出血。
手术入路
对大多数骨折而言,都可应用掌侧入路,在桡侧腕屈肌和桡动脉之间进行显露。识别并牵开拇长屈肌后,可看到深面的旋前方肌,「L」型分离掀起。对于较为复杂的骨折,为了便于骨折复位,可进一步松解肱桡肌腱。
在桡腕关节中插入一枚克氏针,这有助于确定桡骨最远端的界限。如果存在关节边缘的小骨折块,可将掌侧 2.4 mm 钢板放置在桡骨远端关节边缘进行固定。换句话说,月骨关节面的小骨折块可用 2.4 mm「L」或「T」型钢板进行支撑,如图 2。

图 2. 复杂的掌侧关节内骨折,应用两块「L」型钢板进行支撑
对于背侧移位的关节外骨折,注意以下几个要点是很有帮助的。首先,很重要的一点是,临时复位骨折,确定骨折端没有软组织嵌入。
第二,对于没有骨质疏松的患者,可通过钢板辅助骨折复位:先在掌侧解剖型钢板的远端置入锁定螺钉,将其与移位的远骨折段固定在一起,然后在钢板的辅助下将远近骨折段复位,最后再在近端置入其他螺钉。
下面通过图片逐步讲解手术技巧
1. 经桡侧腕屈肌和桡动脉之间完成显露后,将一枚光滑的克氏针置入到桡腕关节:

2. 对移位的掌侧骨皮质进行手法整复使其复位:

3. 从桡骨茎突置入一枚光滑的克氏针,穿过骨折线,临时固定骨折端:


4. 在置入钢板之前,用牵开器撑开,充分显露术野:

5. 在远折端靠近软骨下骨置入远排锁定螺钉:
6. 应用 X 线透视确认钢板和远排螺钉的位置:

7. 钢板的近端部分最好与骨干之间有一定的间隙(10°),这样将钢板固定到骨干上时可进一步复位远端骨折块:

8. 拧入近端的螺钉,重建远折端的掌倾角。在螺钉完全拧紧之前移除克氏针:

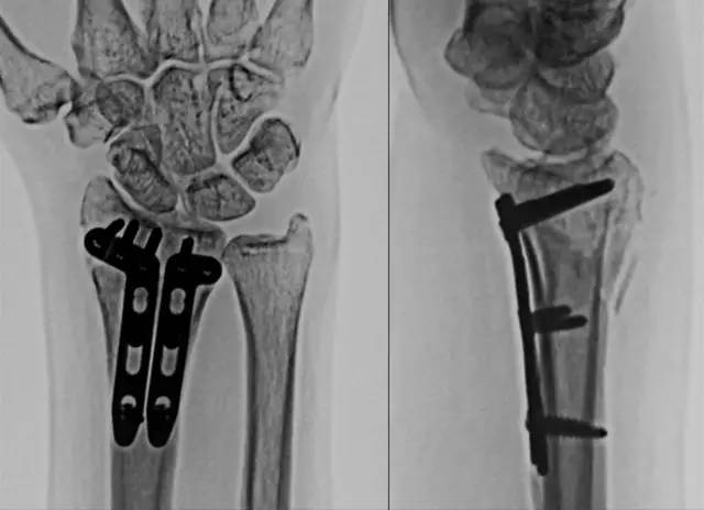
9. 术中 X 线影像证实,骨折最终获得解剖复位,钢板螺钉的位置满意:


掌侧钢板固定容易犯的错误
钢板的位置非常重要,因为钢板不仅可以支撑骨折块,适当的位置还可以避免远端锁定螺钉侵入桡腕关节。术中仔细拍摄 X 线影像,投照方向与桡骨远端的掌倾角一致,可准确地观察桡骨远端桡侧的关节面,而术中先置入尺侧的螺钉也可更准确地观察桡侧的关节面。
螺钉穿透背侧皮质有激惹伸肌腱导致肌腱断裂的风险。锁定螺钉的性能与普通螺钉不同,没必要将螺钉穿透背侧皮质。
排版|小麦
题图 | 站酷海洛
配图 | 作者提供
排版|小麦
题图 | 站酷海洛
配图 | 作者提供






发表评论: