

MRI 已广泛应用于腰椎中央管狭窄的诊断。那么,是否存在一些特殊的影像学表现能够客观反映狭窄呢?
我们发现诸如马尾神经冗余、马尾神经沉降征、前方脑脊液空间闭塞以及椎管内脂肪增多等 MRI 表现对腰椎管狭窄的诊断具有重要的临床意义,一起来看看吧!
马尾神经冗余(redundant nerve roots, RNRs)是指马尾神经在椎管内表现为环状、迂曲和缠绕等现象,与中央椎管狭窄存在明确的因果关系,其好发于高龄、女性和存在严重神经症状的患者中。
一旦发现马尾神经冗余征,提示马尾神经已存在较严重缺血、缺氧及微循环障碍,需行椎管减压手术治疗。

男性,70 岁,间歇性跛行 3 年,加重半年,腰椎马尾神经冗余的 MRI 表现
左图:MRI 横断面 T2WI 图像显示 L3~L4 椎管严重狭窄,黄韧带肥厚,椎间盘膨出;
右图:MRI 矢状位 T2WI 图像,腰 3/4 椎间隙水平以上,马尾神经迂曲缠绕,表现出典型的冗余现象

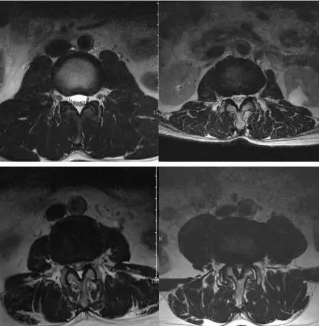
女性,74 岁,腰痛伴间歇性跛行 2 年余,腰椎管狭窄症患者手术前后马尾神经的 MRI 表现
左图:MRI 矢状位 T2WI 图像显示 L4 椎体退行性滑脱,椎管狭窄,L4~L5 间隙水平以上马尾神经迂曲,表现为冗余现象;
右图:MRI 矢状位 T2WI 图像显示 L4-5 椎管扩大减压术后,马尾神经冗余现象消失
马尾神经在 MRI 横断面上,正常情况悬浮于脑脊液中,仰卧位时神经束由于重力因素沉降到椎管背侧。
如果仰卧位时马尾仍然悬浮于硬膜囊内,则为马尾神经沉降征(Nerve root sedimentation sign),是腰椎中央管狭窄的另一个 MRI 表现。

马尾神经沉降征阴性和阳性的 MRI 表现
左图:女性,56 岁,体格检查健康,无明显腰部和下肢不适,腰椎 MRI 横断面 T2WI 图像显示神经根都位于椎管的背侧,表现为马尾沉降征阴性;
右图:女性,62 岁,间歇性跛行 1 年余,MRI 横断面 T2WI 图像显示椎管狭窄,黄韧带肥厚,马尾神经悬浮于椎管内,部分神经根位于椎管腹侧,表现为马尾沉降征阳性
研究显示,接受手术治疗的腰椎管狭窄患者中沉降征阳性率高达 100%。在 L5 平面以上症状和影像学符合中央椎管狭窄的患者中,马尾沉降征阳性率为 94%。
马尾沉降征阳性患者保守治疗往往无效而需要手术治疗,阴性患者多为单纯下腰痛,保守治疗可取得良好的疗效。

前方脑脊液空间闭塞分级的腰椎 MRI 横断面 T2WI 图像示意
0 级:无椎管狭窄,前方空间无闭塞
1 级:轻度椎管狭窄,前方空间轻度闭塞,但马尾神经之间能清楚地辨别
2 级:中度椎管狭窄,前方空间中度闭塞,部分马尾神经相互聚集,无法将其区分
3 级:严重椎管狭窄,前方空间完全闭塞,马尾神经未能清楚显示而表现为一整束
与观察前方空间的方法类似,Schizas 等在 MRI 横断面 T2WI 图像上,根据马尾神经占据脑脊液空间的比例(CSF/rootlet ratio),将椎管狭窄的严重程度分为 4 级,逐渐加重。
A 级,可见清晰的脑脊液,马尾神经未占据整个硬膜囊空间;B 级,马尾神经占据整个硬膜囊,但仍然可见,脑脊液在硬膜囊内表现为颗粒状信号;C 级,马尾神经不能相互辨别,硬膜囊表现为均质的灰色信号,脑脊液信号消失,硬膜外可见脂肪;D 级,脑脊液消失,且无硬膜外脂肪。
该研究证实,在中央椎管狭窄症的手术患者中,大部分为脑脊液闭塞的 C 级和 D 级患者,而且此类患者保守治疗的效果欠佳;而 A 级和 B 级往往不需要手术治疗。由此认为,此分级系统可作为预测预后的重要指标。
(上下滑动查看更多研究)
在腰椎管狭窄的影像诊断中,除了主观的椎管大小评估之外,常用的还有椎管的前后径、面积、硬膜囊面积、关节突关节水平的黄韧带之间距离等指标,其中椎管前后径和硬膜囊面积最常用。
通常将椎管前后径小于 1 cm 和硬膜囊面积小于 100 mm2 作为椎管狭窄的诊断标准。
临床上存在一类患者,骨性椎管空间的直径、面积均在正常范围之内,但测量硬膜囊面积却明显小于正常值,往往由于椎管内占位导致的相对狭窄而引起硬膜囊受压。
除常见的椎管内肿瘤、血肿等占位因素外,硬膜外脂肪增多(Spinal epidural lipomatosis, SEL)引起的椎管狭窄,由于脂肪作为「正常」组织而往往被临床医师所忽视。
外源性皮质类固醇的使用是最常见病因,其次是肥胖、内源性皮质类固醇增多等。
MRI 的 T1WI 图像是诊断 SEL 最敏感的检查方法,表现为椎管内硬膜外脂肪组织明显增多,压迫硬膜囊。

男性,60 岁,双下肢间歇性跛行 3 年余,加重半年,硬膜外脂肪增多的 MRI 表现
左图:腰椎 MRI 正中矢状位 T1WI 图像显示硬膜外脂肪组织明显增多,尤其是 L4~L5 椎间隙水平;
右图:L4~L5 椎间隙水平骨性椎管未见明显狭窄,但测量硬膜囊面积仅约 55 mm2,明显小于腰椎管狭窄的诊断标准(硬膜囊面积小于 100 mm2)
伴有临床症状的特发性腰椎 SEL,高达 88% 的患者最终需手术治疗,继发性腰椎 SEL,消除致病因素后仍有 65% 的患者需要通过手术缓解症状。

腰椎管狭窄的诊治,你还有什么补充?欢迎在评论区留言~

排版|小麦 题图 | 站酷海洛






发表评论: