
螺钉固定是内踝骨折首选的固定方式,甚至认为没有螺钉搞不定的内踝骨折。今天要和大家介绍一种特殊的内踝骨折,需要用中和钢板进行固定。

内踝骨折的分型示意图
美国学者 Herscovici 等在 JBJS(Br)提出一种专门针对内踝骨折的分型:
A:内踝尖端撕脱骨折,大多累及前丘及三角韧带浅层,而深层更偏后部;
B:骨折线位于关节面水平与内踝尖端之间;
C:骨折线与关节面在同一水平;
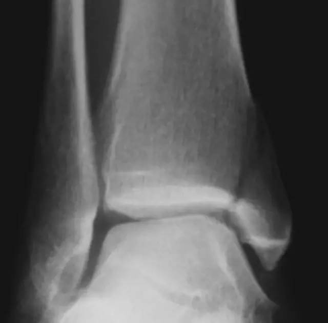
D:骨折线垂直或斜向内上,多见于旋后内收型损伤。较为少见,存在纵向不稳。

典型的垂直型骨折


内踝内收型损伤,关节面存在塌陷,这是一种严重的损伤,术中需要复位塌陷的关节面。
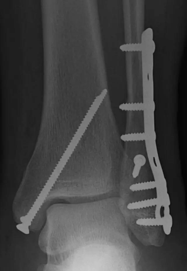
内踝垂直型骨折的手术技巧

推荐的手术方式
复位内踝骨折块之前,需仔细清理骨折端。关节面如存在塌陷,可翻书样将内踝骨折块掀开,暴露并复位关节面、植骨。

两枚克氏针临时固定,在关节线上方 1 cm 水平进针,一前一后,尽量靠前靠后,为钢板置于两枚克氏针之间预留空间。

4 孔 1/3 管型钢板,骨折线远近端各两孔,近端采用皮质骨螺钉双皮质固定,注意第 2 枚螺钉应位于骨折线近端 3 mm 处。远端采用 4 mm 部分螺钉松质骨螺钉固定。
美国学者 Dumigan 等在 JOT 发表一项生物力学研究,从左至右 4 种手术方式分别为:

1.4 孔 3.5 mm 1/3 管型钢板,骨折线远近端各两枚 3.5 mm 皮质骨螺钉双皮质固定,远端两枚螺钉的置入遵循拉力螺钉原则;
2. 近端 3 枚螺钉,远端 1 枚拉力螺钉,其余与上述相同;
3. 2 枚全螺纹 3.5 mm 皮质骨螺钉及 7 mm 垫片,在关节面上 1 cm 的水平面上平行置入,一前一后相距 1 cm;
4. 与 3 类似,区别在于螺钉采用 4 mm 半螺纹松质骨螺钉。
结果显示,4 组均导致 2 mm 移位时所需的负荷分别为:180.77 N/mm、68.15 N/mm、163.28 N/mm 和 138.77 N/mm。由此可见,中和钢板,远近端各两枚螺钉的固定方式,稳定性最佳。

斜向的骨折线,可垂直骨折线置入 2 枚加压螺钉固定

垂直骨折线,单纯 2 枚螺钉的稳定性较差。如果必须选择螺钉固定,推荐在骨折线近端置入一枚皮质骨螺钉,带垫片,双皮质固定,作为阻挡
而对于螺钉固定,哪种方式更可靠,也有学者进行生物力学研究。


美国学者 Ricci 等在 JOT 杂志发表的研究显示,部分螺钉单皮质固定的稳定性不如全螺纹双皮质固定。

Amanatullah 等在 J Trauma 发表的一项研究显示,水平置入两枚螺钉时,两螺钉的相互关系平行、相交、发散(如上图),生物力学稳定性依次升高。推荐两枚螺钉以发散的方式固定,加压面更广。
虽然单纯的内踝骨折也有通过保守治疗获得良好疗效的报道,但更多的文献还是支持进行手术治疗,尤其对于垂直骨折线的内踝骨折,中和钢板结合加压螺钉的方式更为可取。而 2 枚螺钉固定时,呈「八」字形排列,全螺纹双皮质固定的稳定性最佳。
排版|Seaweed
题图 | 站酷海洛






发表评论: