

一期回植
1. 冲洗
污染的骨块清创后,推荐用大量(10L 以上)生理盐水脉冲式冲洗枪冲洗。
2. 浸泡
这是最为重要的处理方法,根据现有的文献证据,洗必泰与聚维酮碘(PVP-I)是最值得推荐的。
有很多病例报道支持 4% 葡萄糖酸氯己定(洗必泰)浸泡 30 分钟以上 [7]。包括 Molina 等 [6]在内,多个学者都对掉落在手术室地板上的骨骼韧带组织进行过研究,PVP-I 及其他抗菌药物溶液均不如洗必泰。前两者浸泡以后培养结果仍呈阳性。
但是,美国学者 Bauer 等 [1]曾对术中掉落在手术室地板上的骨块进行对照研究,洗必泰浸泡后骨块细胞生物活性会丧失,成了一块死骨。作者对比了 5 种消毒方式,为了平衡灭菌与残存细胞活性的要求,推荐的方法是:将骨块完全浸泡在 10% PVP 中,充分摇晃 15 秒,然后转移到另一份新的 10% PVP-I 中(8 秒),继续摇晃,共 5 个循环,约 2 分钟。然后取出骨块,沥干 15 分钟。
美国学者 Bruce 等 [2]对 162 个样本进行对照研究也发现,10% PVP-I 浸泡 5 分钟,然后用 150 mL 生理盐水冲洗 1 分钟,可以达到去污与细胞毒性的最佳平衡。
综上,骨块严重污染时,去污、消毒方面的问题更严重,推荐选择洗必泰;骨块污染不严重时,选择 PVP-I 更合适,正如上面两项对照研究,都是以骨块掉落在手术室地板上做为场景的,相对更清洁,接触污染时间更短。
3. 煮沸、高温高压灭菌
早年的文章中有报道 [4-5],这种方式灭菌彻底,但骨块的生物活性全部丧失。
经过以上处理,骨块回植以后,根据污染程度、软组织损伤等情况,可选择开放创口、置入抗生素骨水泥链珠、二期清创冲洗等措施。
二期回植
1. 冷冻
游离骨块进行上述冲洗、浸泡等处理以后,放入冰箱冷冻。创口处置入抗生素链珠,待软组织情况允许,无感染迹象,二期植入冷冻的骨块 [7];
2. 自体寄养
如寄养在腹部。一方面让创口有处理和恢复的时间;另一方面,寄养在健康组织中,可以清除可能残存的细菌,也可以让游离骨块再血管化。详见病例三 [8]。
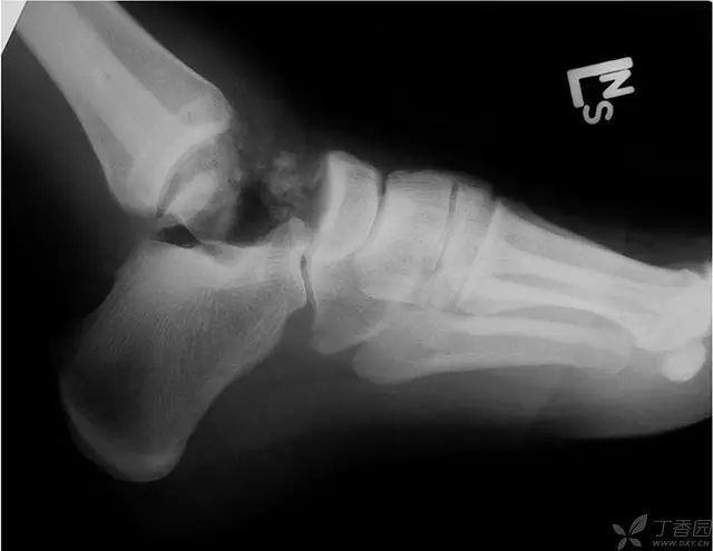
病例一[3]


39 岁男性,体重 131 Kg,身高 190 cm,卡车司机,车祸伤。救护车上无菌冰袋包裹游离距骨入院,入院后改用冰的头孢唑林溶液浸泡
急诊手术清创,9L 生理盐水充分灌洗创口;生理盐水及头孢唑林溶液浸泡以后,直接回植,克氏针临时固定,伤口覆盖抗生素链珠,保持开放。受伤到回植的时间为 4 小时。
72 小时后再次清创灌洗,拔除克氏针关闭创口。术后抗菌药物治疗 7 天,10 天后出院,无术后早期并发症。10 周后部分负重,15 周后完全负重。



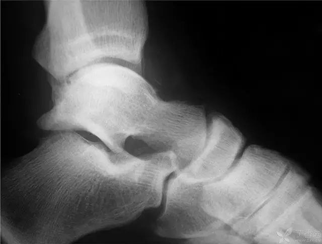
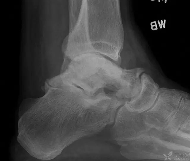
2-5 年 X 线片,可见距下关节、胫距关节关节炎。距骨体逐渐出现硬化,无塌陷

术后 2 周 MRI,没有急性炎症反应

6 个月,有轻度信号改变,表明存在一定程度的生理活动,无骨坏死征象

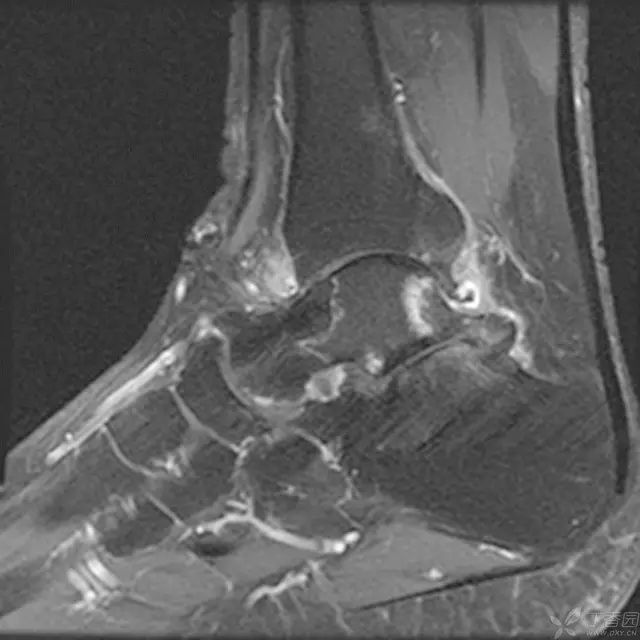
术后 2 年 MRI,弥漫性信号改变,符合早期骨坏死,但无塌陷


5 年 MRI,弥漫性信号局限在距骨体中心部位,头颈部逐渐出现血运重建,无塌陷
病例二[9]


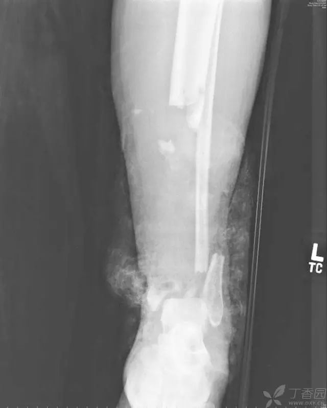
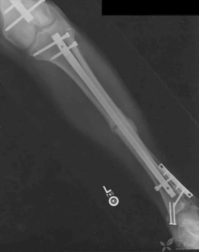
33 岁男性,车祸多发伤。左踝严重污染,几乎环形创口,胫骨远端 20 cm 缺损

游离骨块生理盐水灌洗,保持湿润,4 小时内紧急手术。术中对创口和游离骨块各用 12L 生理盐水灌洗,彻底清创。外固定支架固定,创口松散地缝合
原计划 48 小时再次灌洗,因身体情况不稳定,10 天后再次进手术室清创灌洗,方法如前;48 小时后进行了第三次灌洗,然后进行了内固定,闭合创口。


3 个月后创口无感染迹象,骨折处无压痛

6 个月后,骨折线模糊,独立行走




18 个月恢复工作
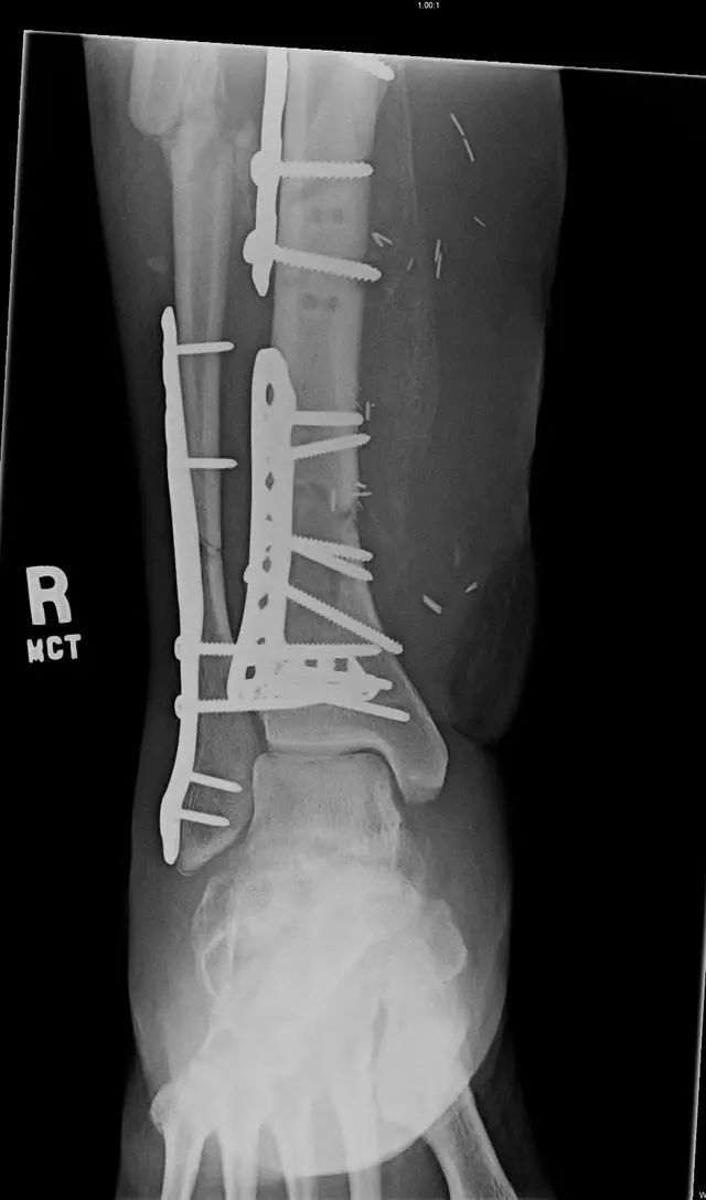
病例三

胫骨远端开放性骨折,远端骨折块游离在体外

游离骨块浸泡在抗生药物生理盐水溶液中

X 线片可见骨块寄养在自体下腹部皮下



创口清创、大量冲洗以后一期外固定支架固定,缺损区域抗生素骨水泥填充

二期回植,更换为钢板内固定


回植后 8 个月,骨折无感染迹象

另一例 48 岁男性,大块的胫骨骨折块,12 周以后从腹部皮下取出骨折块,图 B,去除再血管化的软组织

38 岁女性,肱骨长段骨缺损,10 cm 长骨块游离污染,一期抗生素骨水泥填充。回植后 10 个月骨折顺利愈合
排版|小麦 题图 | 站酷海洛


参考文献:
2. Bruce B, Sheibani-Rad S, Appleyard D, et al. Are dropped osteoarticular bone fragments safely reimplantable in vivo? J Bone Joint Surg Am. 2011;93(5):430-8.
3. Apostle K, Umran T, Penner M. Reimplantation of a totally extruded Talus: a case report. J Bone Joint Surg Am. 2010;92:1661–1665.
4. Canovas F, Bonnel F, Faure P. Extensive bone loss in an open tibial shaft fracture (immediate bone boiling reimplantation). Injury. 1999;30:709–710.
5. Kao JT, Comstock C. Reimplantation of a contaminated and devitalized bone fragment after autoclaving in an open fracture. J Orthop Trauma. 1995;9:336–340.
6. Molina ME, Nonweiller DE, Evans JA, et al. Contaminated anterior cruciate ligament grafts: the efficacy of 3 sterilization agents. Arthroscopy 2000; 16:373–378.
7. Mazurek MT, Pennington SE, Mills WJ. Successful reimplantation of a large segment of femoral shaft in a type IIIA open femur fracture: a case report. J Orthop Trauma. 2003;17:295–299.
8. Lindvall E1, Martirosian A, Morshed S. Autosterilization of Contaminated and Devascularized Bone Fragments Through a Subcutaneous Bone Pouch. J Orthop Trauma. 2015;29(12):558-62.
9. Meininger AK, Figuerres BF, Parameswaran AD, et al. Extruded osteoarticular distal tibia: success at 18-month follow-up with reimplantation. J Orthop Trauma. 2010;24(11):e102-7.




发表评论: