当前位置:首页
> 2
2
-
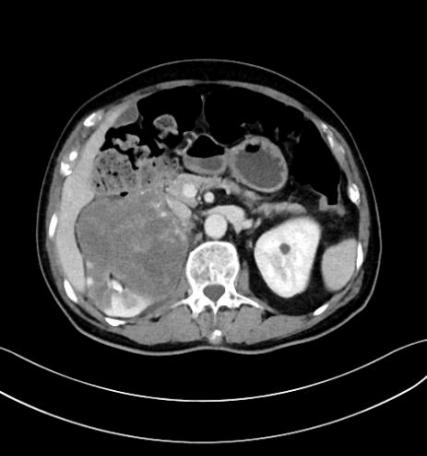
腹膜后脂肪肉瘤手术治疗分享
发布时间:2022-02-18分类: 浏览:352评论:0
-
临床应用:CT检查和多平面重建及处理技术在肺部磨玻璃样改变诊断中的应用分析
发布时间:2022-02-18分类: 浏览:323评论:0
-
大数据时代的医学公共数据库与数据挖掘技术简介 转载
本文约9500字,建议阅读10+分钟
发布时间:2022-02-14分类: 浏览:583评论:0



